Skip to content
ANZCA Final Exam Resources
  • Pages
    • ANZCA Final Exam Resources
    • Dashboard
    • Content
      • Content Summary
      • Learning Outcomes
        • Suboutcomes
      • Past Questions
        • MCQs
        • SAQs
        • Medical Vivas
        • icon picker
          Anaesthetic Vivas
      • Things to Learn
        • Medical Conditions
        • Surgical Procedures
        • Investigations
        • Crises & Problems
        • Procedures
        • Equipment
        • Assessments
      • ANZCA Professional Documents
      • Exam Report Summary
    • Tools
      • Random Question Generator
        • Random SAQ Helper
      • Conflict Generator
        • Conflicts
          • Facilities
      • Crisis Generator
        • Crises
          • Crisis Response Template
      • Case Generator
        • Cases
    • Resources
      • How To Not Fail
      • Invented Questions
        • SAQs
        • Curriculum Vivas
          • Questions
      • Structures & Approach
        • SAQ Question Types
        • Jesse Gilson Key Points
      • Documents
      • Papers/Book Chapters
      • Websites
      • Textbooks/Journals
    • Experiments
      • Medical Viva
        • History
        • Examination
      • Anaesthetic Viva
        • Scenarios
        • How Would You Anaesthetise ...
        • Structures
        • Spiels
        • Some More Notes
      • MCQ Flash Cards
      • Random Viva Generator
        • Viva Machine Helper

Anaesthetic Vivas

Past Vivas
Search
Exam
Title
Background
Opening Question
Categories
Pass Rate
Status
16
Viva 1
You are taking over a functional endoscopic sinus surgery (FESS) case from a colleague in a private hospital because the morning list is running over time and the colleague needs to leave.
The handover given is that the patient is a 50-year-old man undergoing a FESS with mechanical positive pressure ventilation (PPV) using a flexible laryngeal mask airway (LMA). Anaesthesia is being maintained with target-controlled infusions of propofol and remifentanil. Observations have been stable with a targeted mean arterial pressure (MAP) of 65 mmHg after the surgeon requested hypotensive anaesthesia.
Medical History
Obstructive sleep apnoea on nocturnal CPAP
Hypertension, preoperative BP 130/63 mmHg (MAP 85 mmHg)
Smoker 10 cigarettes/day with a 20-pack-year history
Medications
Amlodipine 5 mg once daily
Allergy
Nil known drug allergy
Observations
HR 70 bpm
BP 100/47 mmHg (MAP 65 mmHg)
SpO2 98% on FiO2 40%
Temp 36.5°C
Weight 90 kg
Height 177 cm
BMI 29 kg/m2
What are your key considerations when administering hypotensive anaesthesia for this patient?
78.0%
Viva 2
You are the anaesthetist in the multidisciplinary high risk obstetric clinic at a tertiary referral hospital.
You are reviewing a 29-year-old woman with rheumatic mitral stenosis who is 20 weeks pregnant with her first child. (G1P0)
Medications
Bisoprolol 2.5 mg once daily
Enoxaparin 80 mg SCI bd (previously on warfarin)
Her echocardiogram done earlier in the day is available for review.
Transthoracic Echocardiogram Report
Height (cm) 165
Weight (kg) 80
BSA (m2) 1.9
Heart Rate 80 bpm
Rhythm Sinus
image.png
image.png
How would you assess the severity of her cardiac disease?
76.3%
Viva 3
You have been delegated as resuscitation team leader in the emergency department of a major hospital. You are asked to manage the initial treatment of a 70-year-old male cyclist who collided with a motor vehicle at high speed. He is a recreational cyclist who rides about 25 km two or three times per week.
Medications
Metoprolol tartrate 50 mg bd
On arrival, he is hypotensive with systolic BP 75 mmHg. He is receiving oxygen at 6L/min by Hudson mask. The ambulance paramedic shows you a bicycle helmet which is split in half.
Please describe your pre-arrival organisation of the resuscitation team.
76.3%
Viva 4
You are the anaesthetist in the emergency theatre at a tertiary hospital. Your first case is a planned open right inguinal hernia repair in a 73-year-old man who presented overnight with an incarcerated hernia. Conservative management has failed. The surgeon wishes to proceed urgently to prevent strangulation.
Medical History
Severe smoking related COPD with type II respiratory failure
ABG on room air
pH 7.32 (7.35 – 7.45)
pCO2 49 mmHg (35 – 45 mmHg)
pO2 81 mmHg (80 – 100 mmHg)
HCO3- 29 mmol/L (22 – 26 mEq/L)
Coronary artery disease
- right coronary artery 80% stenosis
Valvular heart disease
- severe mitral regurgitation
- severe tricuspid regurgitation
- normal left ventricular ejection fraction
- mild right ventricular systolic dysfunction
Pulmonary hypertension
- right ventricular systolic pressure (RVSP) 60 mmHg
Paroxysmal atrial fibrillation
Stage 2 chronic kidney disease
- GFR 65 ml/minute, creatinine 100 micromoles/litre
Medications
Amiodarone 200 mg once daily
Digoxin 62.5 mcg once daily
Frusemide 20 mg once daily
Metoprolol 25 mg bd
Rivaroxaban 15 mg once daily
Rosuvastatin 40 mg once daily
Tiotropium inhaler 18 mcg once daily
What are the key issues in formulating your perioperative management plan for this patient?
78.8%
Viva 5
You are the anaesthetist on call in a tertiary metropolitan hospital.
You are notified that the next patient on the emergency list is a 14-year-old boy with a history of Duchenne muscular dystrophy. He has a compound displaced midshaft fracture of his femur after a mechanical fall down several stairs at home yesterday.
He is scheduled for insertion of an intramedullary (IM) nail by the orthopaedic team.
Medical History
Duchenne muscular dystrophy
- Under the care of a regular neurologist
- One inpatient admission for a lower respiratory tract infection six months ago
- Self-ambulant around the home but uses a wheelchair for longer distances
- Gastrostomy tube for nocturnal enteral feeding due to dysphagia and poor nutritional
state
Medications
Prednisolone 2.5 mg once daily
Observations
HR 102 bpm
BP 110/64 mmHg
Spo2 96% on room air
Temp 36.8°C
RR 28 breaths per minute
Weight 38 kg
Height 160 cm
BMI 14.8 kg/m2
What perioperative risks are associated with this patient’s condition?
75.4%
Viva 6
You are the anaesthetist rostered to the pre-admission clinic at a metropolitan teaching hospital.
The next patient to be seen is a 46-year-old woman booked for a laparoscopic splenectomy for severe, chronic immune thrombocytopenic purpura (ITP).
Medical History
Type 1 diabetes mellitus
Immune thrombocytopenic purpura
Medications
Insulin pump 60 units Novorapid by subcutaneous infusion every 24 hours
Prednisolone 25 mg once daily
Rituximab 100 mg IV weekly (completed 1 week prior)
Observations
Weight 85 kg, Height 161 cm, BMI 33 kg/m2
Surgery is planned in one week’s time, and you will be the anaesthetist for this list.
Outline your initial approach to assessment and optimisation strategies for surgery.
76.3%
Viva 7
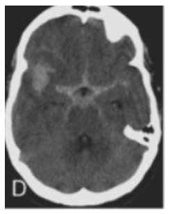
A 25-year-old man presents in the evening to the emergency department of your tertiary metropolitan hospital. He is a singer who collapsed on stage whilst performing.
He initially complained of a severe headache and chest pain.
On arrival, he appears confused, is slurring his words, and has weakness in his left arm with neck stiffness.
Observations
HR 98 bpm
BP 170/110 mmHg
SpO2 93% on room air
Temp 37.6oC
GCS 13 (E4 V4 M5)
An urgent cerebral CT angiogram has been performed and an image from the CT is displayed.
The neurosurgical team wishes to urgently perform a craniotomy and clip a presumed ruptured right middle cerebral artery aneurysm.
image.png
image.png
What is your approach to assessing and managing the patient prior to surgery?
74.6%
Viva 8
You are asked to review a 43-year-old woman who fell from her horse 24 hours ago and sustained an isolated displaced pelvic fracture. She was transferred in a stable condition from a regional hospital and is booked for anterior intrapelvic fixation in the emergency theatre tomorrow.
Medical History
Gastro-oesophageal reflux disease
Severe anxiety
Longstanding lower back pain and coccygeal pain
Medications
Amitriptyline 20 mg nocte
Duloxetine 60 mg once daily
Medicinal cannabis (sublingual CBD oil) 40 mg nocte
Meloxicam 15 mg once daily
Oxycodone SR 40 mg bd
Oxycodone IR as required, up to 40mg daily
Pantoprazole 40 mg once daily
Tramadol SR 150 mg bd
Observations
Weight 60 kg
Height 165 cm
BMI 22 kg/m2
The patient is not mobile and has severe pain, which she states has been poorly managed. She has significant anxiety related to her impending procedure.
You are asked to see her on the ward to assist with the management of her pain which is causing significant behavioural issues.
Describe your approach to assessing this patient.
81.4%
Viva 9
You are reviewing in the clinic a 60-year-old man listed next week for a total thyroidectomy for amiodarone induced thyrotoxicosis.
Past medical history:
Ischaemic cardiomyopathy
Cardiac resynchronisation therapy with implantable defibrillator (CRT-D) placed two
months ago
Type II Diabetes
Obesity – 110kg, 174cm. Neck circumference 44cm
Hypercholesterolaemia
Gastro-oesophageal reflux disease
Drugs:
Aspirin 100mg once daily
Bisoprolol 2.5mg once daily
Sacributril / Valsartan 97/103 mg twice daily
Spironolactone 25mg once daily
Frusemide 40mg once daily
Rosuvastatin 40mg once daily
Metformin XR 1g twice daily
Dapagliflozin 10mg once daily
Semaglutide 1mg weekly sub cut
Esomeprazole 40mg once daily

CRT-D report: attached
Echo summary report: attached

Echocardiogram Summary (performed day before clinic)
Severe ischemic cardiomyopathy with global LV dysfunction (EF 25%)
Dilated LV with extensive wall motion abnormalities, consistent with prior infarcts
LA moderately dilated; RA mildly dilated
Mild-moderate functional MR due to LV remodelling
Mild TR.
Aortic valve normal structure, no stenosis or regurgitation
Biventricular pacing active, with evidence of improved mechanical synchrony
Mild pulmonary hypertension (RSVP 40mmHg) and mildly dilated RV with reduced
function
IVC: normal diameter, normal respiratory collapse
Pacemaker report
Date of Evaluation: 12th May, 2025
Device Model: Medtronic Claria MRI Quad CRT-D
Implant Date: March 27th, 2025
Indication for CRT-D: Severe ischemic cardiomyopathy (LVEF 20%), NYHA Class III
heart failure, history of ventricular arrhythmias
1. Device Information
Device Type: Cardiac Resynchronization Therapy with Defibrillator (CRT-D)
Leads & Positioning:
Right Atrium (RA): Lead in right atrial appendage
Right Ventricle (RV): Lead in RV apex (shock lead)
Left Ventricle (LV): Lead via coronary sinus to lateral/posterolateral vein
2. Intrinsic Rhythm & Pacing Dependence
Underlying Rhythm: Normal sinus rhythm (NSR)
Atrial Pacing (AP): 1% (Minimal pacing, appropriate sinus node function)
Ventricular Pacing (VP): 96% biventricular pacing (Effective CRT delivery)
Biventricular Pacing Capture: >95% (Adequate resynchronization)
What further important information regarding the patient’s thyroid and cardiac pathology would you like to guide your perioperative plan?
83.5%
Viva 10
You are the anaesthetist on site at a tertiary obstetric hospital.
The obstetric registrar has called a category 1 lower uterine segment caesarean section (LSCS) for a 35-year-old woman, G6P5, at 31+ 6 weeks gestation, who presented to the hospital with possible decreased fetal movements.
The patient has not had any antenatal care during the pregnancy.
She has a known intravenous substance user disorder with polysubstance use.
Obstetric History
3 previous LSCS (one with general anaesthesia, two with neuraxial anaesthesia)
2 spontaneous vaginal deliveries
Medical History
Current smoker, 10-pack-year history
Asthma since childhood
Medications
Suboxone (buprenorphine/naloxone) 12 mg once daily
Observations
HR 85 bpm
BP 100/80 mmHg
SpO2 96% on room air
What are your key concerns?
85.4%
Viva 11
You have been asked to attend a trauma call in the emergency department of a tertiary hospital.
The pre-arrival notification states that a 32-year-old man has been run over by a speedboat while swimming in the sea with an obvious lower limb injury due to the propeller. On extricating the patient from the water, significant coughing and vomiting of sea water was noted by first responders. The estimated time of arrival is 1630 hours (two hours post-injury).
The patient’s observations en route are:
Temp 32oC
HR 90 bpm
BP 85/46 mmHg
SpO2 91% on oxygen at 10 L/min via face mask
GCS 10 (E2 V2 M6)
A tourniquet was placed on the upper thigh at 1430 hours as the paramedics were unable to control the blood loss with pressure and 1 L of normal saline has been commenced. A point-of-care haemoglobin is measured as 6.3 g/dL.

What are your treatment priorities on arrival to the emergency department?
84.5%
Viva 12
You are a staff anaesthetist at a major metropolitan hospital. You have been asked to review a patient who is on your list in seven days’ time. He is a 73-year-old man who was admitted five days ago with an exacerbation of chronic obstructive pulmonary disease (COPD) secondary to a viral illness. During his admission a CT chest was performed that showed a mediastinal mass, which now requires a tissue diagnosis. The location of the lesion is not amenable to a CT guided biopsy, and a flexible bronchoscopy failed to yield a specimen for diagnosis. He has been booked by a cardiothoracic surgeon for a rigid bronchoscopy and mediastinoscopy.
Medical History
Severe chronic obstructive pulmonary disease
Type 2 diabetes mellitus
Hypertension
Ischaemic heart disease, medically managed.
Medications
Aspirin 100 mg once daily
Prednisolone 30 mg once daily (day 5 of 5 – day course)
Ramipril 5 mg once daily
Rosuvastatin 20 mg once daily
Sitagliptin/ metformin 50 mg/1000 mg once daily
Tiotropium-olodaterol inhaler one puff bd
Given the patient’s recent illness, how will you decide if the planned time frame for the procedure is appropriate?
69.9%
Viva 13
You are the on-call anaesthetist at a general regional hospital. You are called to the emergency department to attend a trauma involving a 2-year-old girl.
On entering the resuscitation room in the emergency department, you see a crying and slightly drowsy child with an obvious arm deformity.
You establish this was an unwitnessed accident. The mother explains she last saw her daughter riding her scooter in the driveway. A short time later, she found her crying and distressed under a parked car and called emergency services.
The child has just arrived by ambulance. She has received fentanyl 1 mcg/kg, and crystalloid 10ml/kg intravenously en route.
Observations
HR 180 bpm
BP 82/40 mmHg
RR 35 breaths per minute
SpO2 96% on room air
Given this clinical picture, outline your initial management.
83.5%
Viva 14
You are in between cases in a private hospital list when you are asked to urgently help in the theatre next door. You attend to see a middle-aged male patient being hand ventilated via an endotracheal tube by an experienced anaesthetist. The surgeon is scrubbed but the operation has not started.
The anaesthetic monitor is alarming.
Your colleague asks for help to control the hypertension.
image.png
What are the immediate priorities in the assessment of this patient’s blood pressure?
72.8%
Viva 15
You are the on-call anaesthetist on site at a tertiary referral hospital. In the evening you are made aware of a patient with an acute ischaemic stroke secondary to right middle cerebral artery occlusion. They are expected to arrive in the angiography suite in approximately ten minutes for endovascular clot retrieval.
Operating theatre staff inform you that they have just received notification of an impending category 1 lower uterine segment caesarean section (LSCS), and a trauma patient currently in the CT scanner.
You have an advanced trainee and a basic trainee registrar on site.
Limited information is available regarding the stroke patient:
He is an 80-year-old man who lives alone and was found by support services slumped in a chair at home. He was last known to be well approximately six hours earlier. His fasting status is unknown.
Medical History
Type 2 diabetes mellitus
Hypertension
Dyslipidaemia
Paroxysmal atrial fibrillation
At this stage, his medications are unknown. He has no known allergies.
How will you allocate your resources to address these competing priorities?
66.0%
Viva 16
You receive a referral from the gynaecology registrar during your shift in the acute pain service.
The patient is a 22-year-old woman with chronic pelvic pain. She had seven presentations to the emergency department with severe abdominal pain over the past few months. Her most recent pelvic ultrasound is normal and she had two negative diagnostic laparoscopies last month.
During this admission she was on an intravenous ketamine infusion at a rate of 10 mg/hour for three days. The infusion was ceased a few hours ago. She also received intermittent doses of oral tramadol 100 mg four times daily and oxycodone 10 mg four hourly. She has been referred to the chronic pain service but has not yet been seen.
Medical History
Asthma
Depression
Medications
Celecoxib 200 mg bd
Clonazepam 1 mg once daily
Clonidine 50 mcg qid
Oxycodone/naloxone 40 mg/20 mg bd
Paracetamol 1 g qid
Salbutamol Inhaler as required
Thyroxine 75 mcg once daily
Venlafaxine 75 mg bd
Observations
Weight 65 kg
Height 168 cm
BMI 23 kg/m2
The gynaecology team is requesting a discharge analgesia plan for this patient.
What further information do you need to develop a discharge analgesia plan?
83.5%
16
Viva 1
A 10-year-old girl has been added to your dental list today at a tertiary hospital. She is scheduled for dental extractions and treatment under general anaesthesia.
Medical history
Rheumatic mitral valvular disease
Medications
Frusemide 30 mg BD
Spironolactone 25 mg once daily
Allergies
Nil known
Observations on admission
Height 150 cm
Weight 35 kg
BMI 15 kg/m2
HR 117 bpm
BP 95/60 mmHg
SpO2 96% on room air
In your preoperative review of this patient with her mother, what information on history and examination will you seek?
71.0%
Viva 2
It is 11:00 pm and you are on-call at your major metropolitan hospital. The first-year anaesthetic registrar telephones you at home and asks you to attend for a case that has been booked with a surgical urgency of one hour. The patient is a 55-year-old woman who has been booked for a T7 – L3 debridement and laminectomy for spontaneous epidural abscess.
Observations:
Heart Rate: 130 - 140 bpm, atrial fibrillation
Blood Pressure: 110/60 mmHg on noradrenaline (norepinephrine) infusion running at 0.25 mcg / kg / min (14.5 mcg / min based on estimated lean body weight)
SpO2: 90% on high-flow nasal oxygen 40 L/min
Respiratory Rate: 25 breaths per minute
Temperature: 38.5 °C
GCS: 11 (E2 V4 M5)
Weight: 130 kg
Height: 155 cm
BMI: 57
Past Medical History:
Guillain-Barré Syndrome 20 years previously with ICU admission and mechanical ventilation via tracheostomy (since closed)
Current smoking, 40-pack-year history
Type 2 diabetes mellitus (on insulin)
Hypertension
The registrar is concerned that the patient may require urgent intubation due to a falling level of consciousness. You are 20 minutes away from the hospital.
How would you approach the management of this situation?
66.0%
Viva 3
You are the duty anaesthetist at a major hospital. You receive a call from the emergency physician to advise of a 20-year-old woman en route to the hospital with an anterior chest wall stab wound.
The paramedics report that on their arrival, the patient was hypoxic and agitated. A 15 cm hunting knife was found nearby. The patient was intubated following administration of diazepam 10 mg and rocuronium 100 mg intravenously. She had bilateral thoracostomies.
The patient has a known intravenous substance use disorder with heroin.
The last set of vital signs recorded by the paramedics are as follows:
BP 70/55 mmHg
HR 130 bpm
SpO2 92% on FiO2 0.9
RR 15 breaths per minute, ventilated
What are your main considerations as you head down to the Emergency Department?
70.0%
Viva 4
You are the emergency theatre anaesthetist in a tertiary level hospital.
A 68-year-old man with end-stage renal disease is booked for debridement and washout of an infected brachiocephalic arteriovenous fistula (AVF) +/- fistuloplasty. He has missed his scheduled haemodialysis today due to 48 hours of progressive swelling and redness in his arm and intermittent chills. A peri-fistular collection is confirmed on ultrasound.
Medications
Amlodipine-Valsartan 5 mg/ 160 mg once daily
Calcium Carbonate 500 mg TDS
Epoetin alfa 6000 units SCI 3x weekly
Frusemide 160 mg once daily
Hydralazine 25 mg BD
Metoprolol 50 mg BD
Prazosin 1 mg nocte
Observations
Weight 115 kg / Height 1.82 metres /BMI 35 kg/m2
HR 80 bpm
BP 105/47 mmHg
RR 18 breaths per minute
SpO2 96% on room air
Temperature 37.5°C
GCS 15 - lethargic but lucid
Examination Findings
Heart sounds dual
JVP +2 cm
Breath sounds bilateral and vesicular
Bilateral +1 pedal oedema
Outline your clinical priorities in the preoperative assessment of this patient
70.0%
Viva 5
You are the anaesthetist for a gynaecology list in a standalone day surgical unit. The next patient is a 15-year-old girl presenting for termination of pregnancy.
She weighs 60 kg and is not on any regular medications. She denies any comorbidities.
She has attended alone due to parental objection to abortion. She is 11 weeks pregnant confirmed on ultrasound and therefore unsuitable for medical termination.
Describe the elements necessary for informed consent in this patient
78.0%
Viva 6
You are the anaesthetist at a tertiary referral centre. You have been asked to urgently review a 40-year-old woman in the emergency department who has presented with neck swelling and shortness of breath.
She is distressed and anxious.
Medications
Nil regular
Allergies
Nil known drug allergies
Observations
SpO2 98% on room air
RR 20 breaths per minute
HR 120 bpm
BP 130/70 mmHg
Temperature 37°C
Investigations
Full Blood Count:
Results within normal limits
Urea and Electrolytes:
Results within normal limits
Thyroid function tests:
TSH <0.1 mIU/mL (0.5–5 mIU/mL)
Free T4 30 pmol/L (9–19 pmol/L)
Free T3 9.0 pmol/L (3–6.5 pmol/L)
What are the key issues that you would address in your assessment?
73.0%
Viva 7
A 77-year-old man is booked for a posterior-approach left total hip joint arthroplasty (performed in the lateral position) on your list in a private hospital next week. You have taken over the list on behalf of an unwell colleague who provides their preoperative notes.
Medical History
Hypertension
Fibromyalgia
Obstructive sleep apnoea on nocturnal CPAP
Gastro-oesophageal reflux disease
Left total knee arthroplasty completed under spinal anaesthesia two years ago
Height 170 cm, Weight 130 kg, BMI 45 kg/m2
Medications
Amlodipine 10 mg once daily
Enalapril 20 mg once daily
Hydrochlorothiazide 50 mg once daily
Omeprazole 20 mg nocte
Naltrexone 4.5 mg once daily
Semaglutide 0.5mg SCI weekly
He has an unfilled prescription from his general practitioner for rivaroxaban 20 mg PO daily.
Allergies
Nil known drug allergies
An ECG has been performed and is attached below. A transthoracic echocardiogram will be performed prior to surgery.
image.png
What are your concerns about this patient’s presenting cardiac rhythm?
64.0%
Viva 8
You are the consultant in the high-risk obstetric clinic. Your first patient is a 38-year-old woman, G3P2, who is 25 weeks pregnant. She has had two previous lower uterine segment caesarean sections under regional anaesthesia.
Her BMI is 55 kg/m2 (height 174 cm, weight 167 kg). She was diagnosed with severe obstructive sleep apnoea one year ago and has used nocturnal CPAP since with improvement in her symptoms.
Medical History
Mild-moderate pulmonary hypertension
Congestive cardiac failure
Cardiorenal syndrome (GFR 41 mL/min)
Obstructive sleep apnoea on nocturnal CPAP
Medications
Aspirin 100 mg once daily
Spironolactone 50 mg mane
Frusemide 40 mg mane, 20 mg nocte
Labetalol 150 mg TDS
Nifedipine SR 30 mg nocte
Enoxaparin 100 mg SC once daily
Observations
HR 90 bpm
BP 130/80 mmHg
RR 22 breaths per minute
SpO2 96% on room air
She has been referred to your tertiary hospital for management of this pregnancy and planned delivery via repeat lower uterine segment caesarean section
image.png
What are the key concerns in assessing this woman for planned LSCS?
79.0%
Viva 9
You are called to the Emergency Department as part of the trauma team in a tertiary paediatric hospital.
The paramedics are en route and 5 minutes out from arrival.
You are told that a 2.5-year-old boy is being brought in following a motor vehicle accident. The handover reports obvious left facial and chest injuries as well as deformity and swelling of the left upper arm and thigh.
His observations as communicated by the paramedics are
HR 160 bpm
BP 70 mmHg systolic
RR 40 breaths per minute
SpO2 91% on 6L/min via Hudson mask
He responds to voice.
As the anaesthetist in the team, how you will prepare for the child’s arrival?
86.0%
Viva 10
You are the anaesthetist covering the intensive care unit and operating theatre in a small regional hospital. The emergency physician asks for your assistance with transferring a patient to radiology.
The patient is a 25-year-old man who was found wandering in a worksite.
He was agitated and confused, and an ambulance was called. In the ambulance, the patient initially complained of a headache, then become drowsy.
The emergency physician has requested a CT brain but is unable to transfer the patient due to clinical workload.
Medical History
Type 1 diabetes mellitus
Depression
Medications
Insulin pump 70 units Novorapid by subcutaneous infusion every 24 hours
Venlafaxine 150 mg daily

The observations recorded by the paramedics are as follows:
BP 140/85 mmHg
HR 84 bpm sinus rhythm
SpO2 99% on room air
RR 20 breaths per minute
Eye opening: open to voice
Best verbal response: mumbling words inappropriately
Best motor response: localising to pain
How will you assess this patient prior to transfer to radiology?
82.0%
Viva 11
You are requested to attend a trauma call in the emergency department of a tertiary hospital.
Paramedics have transferred a 38 year old man with a stab injury to his neck inflicted during an assault an hour ago.
His GCS is 15 (E4 V5 M6) and has the following initial observations:
Heart rate 95/min
BP 140/90 mmHg
Resp rate 18/min
SpO2 96% on oxygen at 6 LPM via a Hudson mask

A stab wound can be seen about 2 cm above the right clavicle. He has a 20-gauge cannula in his right antecubital vein and is currently receiving a litre of Hartmann’s solution. His Hb is 125 g/L on admission.
He does not have any prior medical conditions or allergies and does not take any medications.
image.png
On initial assessment, what clinical features will you focus on?
67.0%
Viva 12
You are tasked with reviewing a 50-year-old male in the preadmission clinic, who is scheduled for a transjugular intrahepatic portosystemic shunt (TIPS) procedure in one week.
Past medical history
Cirrhosis secondary to non-alcoholic steatohepatitis leading to previous variceal bleeding and recurrent ascites.
Type 2 diabetes mellitus.
Medications
Frusemide 40mg once daily
Lactulose 10ml three times daily
Metformin 1g once daily
Pantoprazole 40 mg once daily
Propranolol 10 mg twice daily
Rifaximin 550mg twice daily
Vital signs
Height 160cm
Weight 80 kg
BMI 31 kg/m2
BP 105/ 65 mmHg
HR 85 bpm
SpO2 95% on room air
Temp 36.5 o C
Under what circumstances may a TIPS be unsuitable for a patient with liver failure?
68.0%
Viva 13
You are reviewing a 55 Yrs old patient presenting for an elective release of perioral and anterior neck contracture scars 12 months following a burn injury involving 60% of her body surface area. The surgical plan will also involve a free flap to the anterior neck as well as perioral scar release.
Her medications are
Salbutamol MDI 100mcg 2 puffs QID PRN
Salmeterol/Fluticasone MDI 250/25mcg 2 puffs BD
For cultural reasons the patient has requested an all female team for her care in the operating theatre. How will you address her request for an all female team?
71.0%
Viva 14
You are the duty anaesthetist for a regional hospital. The general surgeons have booked a 69-year-old male for an urgent ureteric stent insertion at 1900 hrs.
Medical history
Hypertension
Type 2 Diabetes mellitus
Obstructive Sleep Apnoea on CPAP
Bronchial asthma
Currently smokes 10 cigarettes/day with a 50-pack year history
Drinks alcohol socially
Medications
Ramipril 5 mg daily
Empagliflozin 10 mg daily
Gliclazide XR 60 mg daily
Salbutamol inhalers 100 mcg 1-2 puffs q4h PRN
Vitals
Pulse rate 110 bpm
BP – 99/62 mm Hg
SpO2 94% on room air
Temperature 37.8 C
Patient’s body weight is 108 kilograms, height 167 cm
Calculated BMI is 38.7 kg/m2
ECG – sinus tachycardia 110 bpm
CT KUB – right sided hydronephrosis with a 12 mm calculus at the vesicoureteric junction
What further information would you like to determine the urgency of this case?
66.0%
Viva 15
A 17-year-old boy presents to pre-admission clinic in your tertiary referral centre. He requires assessment prior to a T2- L4 posterior spinal fusion for kyphoscoliosis with a 50 degree curvature.
He has a cervico-thoracic syrinx and had a foramen magnum decompression at 3 years of age for progressive lower limb weakness.
He is particularly apprehensive about the surgery and is worried about post-operative pain.
Height 168 cm, Weight 95 kg, BMI 33.6 kg/m2
What do you consider to be the most important features that need to be addressed during the preoperative assessment?
90.0%
Viva 16
You are called to review patient in recovery post elective LUSCS under neuraxial anaesthesia. The patient is increasingly short of breath and has ongoing oxygen requirement and the nursing staff are concerned about sending her back to the ward.
The lower uterine segment caesarean section (LUSCS) was performed at 36weeks gestation for intrauterine growth restriction (IUGR). A healthy infant was delivered 2 hours ago.
Biometrics:
Age 28 years
Weight 88kg
Height 160cm
BMI 34.4
Past obstetric and medical history:
G3P0
Systemic Lupus Erythematosus
Medications:
Clexane 40mg od (ceased yesterday)
Aspirin 100mg
Hydroxychloroquine 200mg od
Nil Known Drug allergies
Outline your initial management.
81.0%
16
Viva 1
You have been scheduled to an MRI list at a paediatric hospital. The first patient on the list is an 8-year-old girl for MRI brain and a lumbar puncture.
The girl has autism spectrum disorder. She has a mild speech delay but communicates well. Six months ago she had an episode of venous sinus thrombosis with raised intracranial pressure secondary to mastoiditis.
The indication for the MRI and lumbar puncture is worsening headache with intermittent low grade fever (highest temperature 37.8°C) over the past two weeks.
She weighs 25 kg.
She is admitted to the paediatric ward the day before the procedure and you are asked to perform a preoperative assessment.
What information do you seek during your preoperative visit?
80.0%
Viva 2
You are required to anaesthetise a 75-year-old woman undergoing a posterior C1 – 2 fusion after a low-velocity mechanical fall at home yesterday evening. Her only injury is a mildly displaced type II dens fracture which has resulted in posterior neck pain and mild left hand weakness. She is currently immobilised in a hard cervical collar.
She weighs 52 kg and is 155 cm tall. Her observations are within normal limits.
Her relevant active comorbidity is osteoporosis managed with a bisphosphonate. She lives alone and is independent in her activities of daily living.
A colleague has performed a preoperative review. The airway comments are:
Thin face with minimal cheek tissue
Mallampati 2, mouth opening 3 cm
Thyromental distance 3 cm
Upper partial plate (removable), lower natural dentition
Neck extension not assessed
Previous GA in 2020: Grade II, MAC 3. No comment on bag mask ventilation
What additional information would complete your airway assessment?
79.1%
Viva 3
An 18-year-old man was brought to the Emergency Department of your major hospital via ambulance after suffering a seizure at university this afternoon. A CT brain has been performed which reveals the suspicion of an arteriovenous malformation (AVM) with associated haemorrhage. There is also a 15 mm diameter cerebral aneurysm that appears intact.
The patient requires digital subtraction angiography of his cerebral vessels and you are asked to provide anaesthetic support for this procedure.
Describe the focus of your assessment of this patient.
69.1%
Viva 4
You are working in a large hospital when you are called by a surgeon regarding a 51-year-old woman who is in the Emergency Department. She requires an urgent laparotomy following a single stab wound to the abdomen after an assault at home.
Immediate history:
Arrived to hospital via ambulance within 30 minutes of injury
Since arrival to ED:
primary survey (no obvious other injuries)
IV access and blood tests taken
1000 mL Normal Saline and analgesia administered
FAST scan reveals free air and fluid
Observations:
Airway patent. GCS 15
SpO2 95% on 6L/min oxygen via Hudson mask
BP 80 mmHg systolic
HR 38 bpm
Dressing on anterior abdomen with some blood leaking through
Medical History:
Height – 153 cm
Weight – 90 kg
BMI 38.4 kg/m2
Type 2 diabetes mellitus, poorly compliant with prescribed treatment
Mild chronic renal impairment
Recent syncopal episodes and referred to cardiology – awaiting appointment
Smoker – 20 cigarettes per day
Medications:
Perindopril 4 mg once daily
Metformin 500 mg twice daily
Glipizide 5 mg twice daily
Atorvastatin 20 mg once daily
Initial blood test results and a 12-lead ECG are displayed below.
How will you assess this patient’s volume status before theatre?
79.1%
Viva 5
A 35-year-old woman with a history of myasthenia gravis was recently assessed for worsening symptoms. She was found to have an anterior mediastinal mass consistent with a thymoma.
She is booked for a VATS thymectomy due to difficult medical control of her symptoms and recent development of bulbar dysfunction as well as some clinical evidence of mass effect from the thymoma.
You are assessing the patient in the Preadmission Clinic a week prior to her scheduled surgery.
Medications:
Pyridostigmine 180 mg qid
Prednisolone 15 mg mane
What are the important elements in the assessment of this patient?
73.6%
Viva 6
You are working in the preadmission clinic. An 86-year-old woman is booked for a laparoscopic ultra-low anterior resection for rectal cancer on your list in three weeks’ time.
She lives alone at home and can comfortably walk 100 metres on the flat.
Medical history:
Hypertension
Transient ischaemic attack two years ago
Ex-smoker – 60 pack-year history
Chronic renal impairment
Medications:
Perindopril 4 mg daily
Aspirin 100 mg daily
Observations:
BP 160/85 mmHg
HR 82 bpm, regular
SpO2 94% on room air
Height 1.70 m
Weight 51 kg
BMI 17.6 kg/m2
A CT abdomen shows a large low rectal cancer and a single nodule in the liver.
The surgeon has asked you to provide an opinion on this patient’s perioperative risk. How would you assess this?
82.7%
Viva 7
You are the anaesthetist on call overnight in a regional hospital.
You are called to the Birth Suite at 2 am to review a 19-year-old woman who has just been brought in by ambulance in labour with sudden onset of shortness of breath within the last 6 to 12 hours.
The woman is G1 P0 and is 32 weeks gestation by dates. She has not had any antenatal care during the pregnancy.
The cardiotocogram (CTG) is normal.
The patient denies any prior medical history. She weighs 65 kg and has a BMI of 23 kg/m2.
The midwife informs you that the patient’s oxygen saturation is 94% on 15 L/min oxygen via non-rebreather mask.
The obstetric registrar and your anaesthetic registrar are currently performing a Category 2 caesarean section in the emergency theatre.
How will you approach this situation?
80.0%
Viva 8
You have been contacted by a vascular surgeon to inform you of an upcoming case at your metropolitan hospital.
The patient is a 50-year-old previously well man who had a ten-day ICU admission for severe sepsis due to COVID-19 pneumonitis with Streptococcus pneumoniae superinfection, for which he was intubated and ventilated as well as treated with inotropes and vasopressors.
He was extubated one week ago and vasopressor support was weaned. He is currently on a medical ward.
He requires bilateral below-elbow amputations and a right below-knee amputation for vasopressor-induced irreversible ischaemia associated with intractable pain.
He has a resolving lung injury and remains on oxygen at 3 L/minute via nasal prongs.
Current observations:
SpO2 89% on room air
SpO2 95% on oxygen 3L/minute
Weight 80 kg (premorbid weight 85 kg)
Height 179 cm
BMI 25 kg/m2 (premorbid BMI 26.5)
Medications:
Ampicillin 1 g QID
Paracetamol 1 g QID
Pregabalin 50 mg TDS
Oxycodone/naloxone 20 mg/10 mg BD
Oxycodone infusion – 4 mg per hour intravenously
(Note - ketamine was trialled and removed due to nightmares and dysphoria)
The surgeon anticipates a surgical time of eight hours and will involve the use of bilateral upper limb tourniquets and skin grafting.
What factors would influence your decision regarding the timing of surgery?
79.1%
Viva 9
A 2-year-old boy has presented for left VATS and decortication for an empyema after a chest infection. He has been on the ward in your tertiary referral centre for three days receiving antibiotics.
There is no significant past medical history and he has normal developmental milestones.
Vital signs:
HR 130 bpm
BP 95/52 mmHg
respiratory rate 28 bpm
temperature 37.5oC
weight 12 kg
He has been discussed at a multidisciplinary meeting and has been deemed suitable for surgery.
His chest X-ray is presented here.
How would you assess this patient preoperatively?
76.4%
Viva 10
You are in working in the preadmission clinic, assessing a 40-year-old man who is booked for transsphenoidal resection of pituitary adenoma on your neurosurgical list next week.
Medical history:
Acromegaly
Obstructive sleep apnoea
Cardiomyopathy
Hypertension
Medications:
Candesartan 16 mg mane, recently increased from 8 mg mane
Frusemide 80 mg bd
Metoprolol 47.5 mg bd
Octreotide 40 mg monthly by intramuscular injection
Cabergoline 1.5 mg weekly
There are no known drug allergies.
Vital signs:
Height 185 cm
Weight 125 kg
BMI 36.5 kg/m2
HR 80 bpm
BP 145/70 mmHg
SpO2 96% on room air
His only previous anaesthetic was for adenotonsillectomy as a child.
What information will you seek on history to address your key concerns about this patient?
86.4%
Viva 11
A 40-year-old woman is booked on your list tomorrow for posterior fossa craniotomy and resection of medulloblastoma. She presents with a three-week history of worsening headache, ataxia and dysarthria.
She has a medical history of mild intellectual impairment, obesity (BMI 35) and an unrepaired Ebstein’s congenital cardiac anomaly.
The last cardiology review that is recorded in the hospital medical record was ten years ago and revealed the following:
Moderate tricuspid regurgitation (posterior and septal leaflets adherent)
Some right ventricular enlargement
Atrial septal defect
No evidence of tachyarrhythmias
The neurosurgeon wishes to perform the surgery with the patient prone with reverse Trendelenberg (head-up) positioning. A sagittal image of the patient’s brain MRI is displayed.
What specific information do you seek in your history and examination?
72.7%
Viva 12
You are part of the trauma team at a metropolitan hospital. You are notified that a 67-year-old woman is being brought in by road ambulance after a motor vehicle accident.
She was the driver and sole occupant of a car that veered off a country road and down an embankment. The extraction was complicated, and it is now three hours since her initial injuries.
On arrival, her airway is patent, and her cervical spine is immobilised. She has two 16G IV cannulas in situ.
Paramedics hand over that she is confused and has weakness in her left arm and leg.
Prehospital eFAST is positive, with free fluid in the pelvis. She has an open fractured right tibia and fibula.
Vital signs:
HR 105 bpm (atrial fibrillation)
BP 220/110 mmHg
RR 24 breaths/minute
Sp02 98% (6 L/minute oxygen via mask)
What are your priorities when evaluating her neurological status?
62.7%
Viva 13
You are the anaesthetist on call in a tertiary hospital. It is after-hours and you are still on site.
You are called to the Cardiac Catheterisation Laboratory to assist with the care of a 73-year-old man who is undergoing an urgent coronary angiogram after presenting to the emergency department an hour earlier with an ST-segment elevation myocardial infarct. His management was expedited as a “code STEMI”.
You are informed that he was initially stable and neurologically intact on arrival to hospital but is now hypotensive with a blood pressure of 73/48 mmHg, and is agitated and moving around.
What information do you seek on arrival at the Cardiac Catheterisation Laboratory?
77.3%
Viva 14
You are the anaesthetist covering the weekday morning emergency list in a tertiary metropolitan hospital. The emergency medicine physician on duty calls to inform you about a 55-year-old man who has presented with haematemesis. The only known past medical history is significant alcohol intake and his current medications are unknown.
He is currently in the Emergency Department.
His observations at the time of the call are:
HR 100 bpm
NIBP 90/60 mmHg
SpO2 96% on oxygen 6 L/min via Hudson mask
Height 1.7 m
Weight 72 kg
BMI 24.9kg/m2
His blood test results are as displayed.
He has a 20G IV cannula in his left basilic vein and is receiving 1 L crystalloid.
The gastroenterologist plans to perform an emergency endoscopy.
What will you prioritise in your initial assessment and management of this patient?
80.9%
Viva 15
You are the on-call anaesthetist working at a regional hospital on a Saturday evening.
You are requested to attend the Emergency Department as part of a Trauma Call activation.
The ambulance service has pre-notified of the imminent arrival of a 25-year-old woman who is 32 weeks pregnant. She was the restrained driver in a car involved in a high-speed collision with a large tree at an estimated speed of 90 km/h.
Pre-notification information from paramedics:
Maintaining her airway
SpO2 stable at 96% on oxygen via a non-rebreathing mask
RR 22 breaths per minute and stable
PR 115 beats per minute and stable
BP 105/60 mmHg and stable
GCS 15 and stable
Complaining of severe abdominal pain
Significant bruising across lower and left upper quadrant of abdomen
The patient is estimated to be 15 minutes away and you have been requested to be the Team Leader at the Trauma Call.
How would you prepare for the patient’s arrival?
80.0%
Viva 16
You are in the preadmission clinic reviewing a 38-year-old woman with breast cancer whom you will anaesthetise for bilateral mastectomy and immediate deep inferior epigastric perforator (DIEP) flap reconstruction in two weeks’ time.
Medical History:
Type 2 diabetes mellitus – diagnosed two years ago
Antiphospholipid syndrome – diagnosed three months ago after first episode of lower limb deep vein thrombosis with pulmonary embolism
Medications:
Rivaroxaban 20 mg daily
Metformin 500 mg twice daily
Empagliflozin 10 mg daily
Semaglutide 2 mg weekly (subcutaneously)
Examination
Weight 80 kg
Height 160 cm
BMI 31 kg/m2
Examination is otherwise unremarkable
Investigations
Full blood examination – normal, with haemoglobin 125 g/dL (120 – 160 g/dL)
Electrolytes, urea and creatinine – normal
Coagulation studies – normal
HbA1c
5.8% (normal value < 6%)
40 (normal value < 42 mmol/mol)
ECG – sinus rhythm
What advice would you give the patient regarding her medications in preparation for surgery?
80.9%
16
Viva 1
You are the anaesthetist on-call in a tertiary hospital. The vascular surgeon calls you to advise that an 82-year-old man with a contained rupture of an abdominal aortic aneurysm has just arrived in the emergency department, transferred from a secondary centre.
The surgeon advises that the aneurysm is not suitable for an endovascular technique and the patient requires an urgent open repair. You immediately attend the emergency department.
What is your initial assessment of this patient?
72.2%
Viva 2
You are the anaesthetist in the pre-assessment clinic of a day surgery hospital.
You are reviewing an 86-year-old man who has been booked for a wide local excision of a left temple squamous cell carcinoma (SCC) and rotational flap under local anaesthetic and sedation.
Medical History
Dementia (moderate) – lives in hostel
Atrial fibrillation (stable)
Hypertension (stable)
Medications
Dabigatran 110 mg twice daily
Diltiazem 180 mg mane
He has been brought to the clinic by his son, his enduring guardian, who is very concerned about the possibility for conversion to a general anaesthetic. The patient had a general anaesthetic for removal of an SCC on his leg last year and experienced postoperative delirium requiring a three-day hospital stay.
His observations and results of blood tests are included below.
Weight 65 kg
Body mass index 23 kg/m2
Heart rate 75 beats per minute
Blood pressure 140/80 mmHg
Respiratory rate 15 breaths per minute
SpO2 97 % on room air
image.png
image.png
What issues would you address during the preoperative visit?
84.4%
Viva 3
You are anaesthetising for an ophthalmology list at a standalone day-surgery unit with two operating theatres.
Your first patient is a 55-year-old man with a rapidly-progressive posterior subcapsular cataract in the right eye for a cataract extraction and intraocular lens insertion.
Medical history
Type 2 diabetes mellitus
oral hypoglycaemics
HbA1c 6.8% (51 mmol/mol)
no known end-organ disease other than cataracts
Highly myopic, blind in left eye after previous macular retinal detachment at age 51 years
Medications
Metformin 1 g twice daily
Allergies:
Nil
Examination is unremarkable, with body mass index of 24 kg/m2. Preoperative investigations have been reviewed and are normal. The patient is fasted and has been considered appropriate for day surgery.
What are your considerations when evaluating your options for anaesthesia for this patient’s cataract surgery?
75.6%
Viva 4
You are the visiting anaesthetist in a small rural town where you work once a month with a visiting urologist. You receive a telephone call from a nurse in the Emergency Department asking if you could come and assist the GP anaesthetist.
The ambulance service have just brought in a 25-year-old man who fell from the roof of a farm shed, where he had been sitting and drinking with friends. The GP anaesthetist intubated the patient on arrival to hospital because of reduced Glasgow Coma Scale (GCS) score and is requesting your assistance with ongoing management.
Describe your initial response to this request.
75.6%
Viva 5
A 70-year-old man presents on the day of surgery for an elective L2–L5 posterior lumbar intervertebral fusion (PLIF), with a plan for intraoperative neurophysiological monitoring.
Medical History
Back pain
Hypertension
Type 2 diabetes mellitus
Paroxysmal atrial fibrillation
Smoker
Medications
Sotalol 80 mg twice daily
Enalapril 10 mg twice daily
Metformin 500 mg twice daily
Paracetamol 667 mg three times daily
Meloxicam 15 mg daily
Gabapentin 600 mg three times daily
Tramadol 100 mg three times daily PRN
Vital Statistics
Height 1.80 m
Weight 101 kg
Body Mass Index (BMI) 31 kg/m2
Preoperative blood test results are included below. An electrocardiogram (ECG) was performed this morning on admission to hospital and is attached.
image.png
image.png
image.png
What further history would you seek from this patient before proceeding with his anaesthesia?
64.4%
Viva 6
You are working in a standalone day surgery facility.
A 2-year-old boy weighing 15 kg presents for the combined procedures of release of bilateral hand syndactyly and open orchidopexy for a unilateral undescended testis.
He has had a clear runny nose for the past three days, which his parents attribute to teething. A COVID-19 rapid antigen test performed this morning returned a negative result.
How will you decide whether to proceed with surgery or defer until a later date?
82.2%
Viva 7
You are the duty anaesthetist in a tertiary hospital. You receive a telephone call from the obstetric consultant working in the antenatal clinic today. She is with a 24-year-old woman who is currently 35/40 in her first pregnancy. The woman has been booked for a caesarean section in a week’s time for intrauterine growth retardation.
Medical history
Severe scoliosis – corrective posterior fusion surgery at 16 years of age
Height 1.45 m
Weight 42 kg
Body mass index 20 kg/m2
What are the important issues to consider in your assessment of this patient?
85.6%
Viva 8
You are the anaesthetist on evening duty at your tertiary-level hospital. You receive a call from the emergency medicine physician who requests your assistance with the management of a 50-year-old man who experienced a choking episode while eating a sausage for lunch.
The patient is thought to have aspirated a piece of the sausage and is somewhat distressed. The patient has a history of brittle asthma and chronic obstructive pulmonary disease with a 60 pack-year history of smoking. He has known tracheal stenosis for which he receives regular tracheal dilations.
Medications
Fluticasone 250 mcg via metered-dose inhaler (MDI) 2 puffs twice daily
Salmeterol 50 mcg via metered-dose inhaler (MDI) 2 puffs twice daily
Salbutamol 100 mcg via metered-dose inhaler (MDI) 2 puffs twice daily
The emergency medicine physician would like to transfer the patient straight to theatre.
How will you assess his suitability for urgent transfer to theatre?
74.4%
Viva 9
You are the anaesthetist allocated to the emergency theatre at a tertiary hospital.
You attend the holding bay to assess your next patient, who is a 30-year-old woman booked for an open repair of a right common femoral artery pseudoaneurysm. She has a history of substance use disorder and the injury is a result of self-injection.
The 18-gauge intravenous cannula inserted under ultrasound guidance in the emergency department is no longer patent. There is a radial arterial line in-situ.
Prehospital and emergency department management has included:
Ketamine 50 mg intravenously
Fentanyl 100 mcg (in aliquots) intravenously
Hartmann’s solution one litre intravenously
The patient’s biometric data and results of an arterial blood gas are included below.
Biometric data
Height 1.70 m
Weight 50 kg
Body mass index 17.3 kg/m2
Body surface area 1.51 m2
Ideal body weight 61 kg
Arterial blood gas (FiO2 0.44, Temperature 38.0°C)
image.png
image.png
Outline how the history of substance use disorder influences your assessment of the patient.
69.8%
Viva 10
You are the weekend on-call anaesthetist at a tertiary regional hospital.
A 45-year-old man has been transferred to your emergency department for management of a femoral fracture after he fell last night. He received a femoral nerve block and splint at the referral hospital before being transferred to your facility.
The surgeons are worried about increasing swelling and gross deformity of his thigh and would like to place a femoral nail as soon as possible.
The patient has a past history of chronic back pain that was associated with OxyContin misuse. The OxyContin was converted to buprenorphine after a spinal fusion four months ago.
He had breakfast six hours ago.
Medications
Buprenorphine 18 mg sublingual once daily
Pantoprazole 40 mg once daily
Observations
Heart rate 100 beats per minute
Blood pressure 110/85 mmHg
SpO2 95% on room air
Respiratory rate 16 breaths per minute
Weight 160 kg
Height 1.86 m
Body mass index 45 kg/m2
How would the previous opioid misuse and current buprenorphine use affect your approach to the management of this patient?
81.4%
Viva 11
You are working in a standalone psychiatry hospital covering a colleague’s electroconvulsive therapy (ECT) list.
The first patient is a 53-year-old anaesthetist colleague with severe depression who has been booked for ECT titration (first ECT treatment). You review her in her room prior to the start of the ECT list. She is visibly upset.
Medical history
Type 2 diabetes mellitus
Hypertension
Paroxysmal atrial fibrillation
Medications
Candesartan 16 mg daily
Rivaroxaban 10 mg daily
Venlafaxine 75 mg daily
What are the requirements to safely proceed with ECT in this standalone facility?
73.3%
Viva 12
You are the on-call anaesthetist attending a trauma call in a major trauma centre.
A 30-year-old male driver was brought to the hospital by paramedics after a high-speed collision with a tree. A laryngeal mask airway was inserted en route due a fall in his level of consciousness. There is extensive bruising over his right chest and a prominent seatbelt sign.
He has polycystic kidney disease and attends the hospital for regular haemodialysis through an arteriovenous (AV) fistula in his left arm. He is otherwise well and has no known allergies.
How does end-stage renal failure affect the trauma management of this patient?
59.3%
Viva 13
You are called to the neurosurgical theatre by your provisional fellow who requests your assistance. They have anaesthetised a 36-year-old woman for a craniotomy and open clipping of a saccular middle cerebral artery aneurysm.
The patient was admitted with a sudden onset of headache two days prior and was diagnosed with a World Federation of Neurosurgical Societies (WFNS) grade I subarachnoid haemorrhage.
Medical History
Hypertension
Asthma
Medications
Nimodipine 60 mg four-hourly
Irbesartan 150 mg daily
Salmeterol/Fluticasone 250/25 mcg via metered-dose inhaler (MDI) daily
Salbutamol 100 mcg via metered-dose inhaler (MDI) PRN
Allergies
Morphine (rash)
When you attend the theatre, you discover that the patient was induced, intubated and anaesthetised uneventfully. She is currently being maintained on total intravenous anaesthesia, with target-controlled infusions of remifentanil and propofol. The patient has an arterial line and a central venous catheter in situ. Surgery is underway.
The provisional fellow is concerned that the patient has developed high airway pressures and a heart rate of 120 beats per minute.
What is your approach to this situation?
68.6%
Viva 14
A 12-year-old boy with an intellectual disability presents for dental restoration and extractions at your tertiary paediatric hospital.
His parents report that he is fearful of needles and has been worried about the surgery and anaesthetic.
Weight 133 kg
Height 1.60 m
Body mass index 52 kg/m2
What specific concerns would you seek to clarify on history.
73.3%
Viva 15
You are the anaesthetist in the obstetric anaesthesia clinic in a tertiary hospital.
You are asked to assess a 28-year-old woman with paraplegia in her first pregnancy. She is 34 weeks pregnant and is booked for an elective caesarean section at term.
The referral states:
Paraplegia following a horse riding accident aged 16 years IVF conception/pregnancy
Medications
Amitriptyline 50 mg daily
Cranberry capsules
Folic acid
Iron supplements
Baclofen – discontinued with pregnancy
What specific information on history and examination will help you develop an anaesthetic management plan for this patient?
81.4%
Viva 16
You are providing anaesthesia for an elective ENT list. A 63-year-old man with a laryngeal squamous cell carcinoma is booked for a salvage laryngectomy, and neck dissection with a free flap reconstruction.
The patient was seen ten days ago in the preadmission clinic. He was documented to have chronic obstructive airway disease only, with no known cardiovascular disease.
His observations this morning were:
Heart rate 86 beats per minute
Blood pressure 128/75 mmHg
SpO2 95% on room air
Body mass index 18 kg/m2
Medications
Salbutamol 100 mcg via metered-dose inhaler (MDI) PRN
Salmeterol/fluticasone (50/250 mcg) via metered-dose inhaler (MDI) 2 puffs twice daily
In addition to the routine examination, please describe how you will assess this patient’s airway.
72.4%
16
Viva 1
A 50-year-old man presents to the Emergency Department of your tertiary centre two hours after the onset of swelling in the face and lips.
Medications:
Ramipril 5 mg once daily
Rosuvastatin 10 mg once daily
Allergies: Shellfish
As the duty anaesthetist, you have been telephoned by the Emergency Medicine physician and asked to assist with airway management. How will you respond to the request?
56.7%
Viva 2
You are the anaesthetist for an upper limb orthopaedic list. The next patient on your list is a 55-year-old man for a left arthroscopic acromioplasty and rotator cuff repair in the beach chair position. The expected duration of surgery is 2.5 hours.
Medical history:
Currently well, generally active
Hypertension
Obesity (body mass index 35 kg/m2)
Smoker 10/day
No known allergies
Observations:
Height 178 cm
Weight 110 kg
Heart rate 65 beats per minute
Blood pressure 125/75 mmHg
Medications:
Irbesartan 150 mg mane

Discuss your plan for this patient’s perioperative analgesia.
78.3%
Viva 3
You are reviewing a 10-year-old child on the day of surgery who has been scheduled for bilateral proximal femoral derotation osteotomies and tendon transfers with a left pelvic osteotomy. The child has a history of cerebral palsy, epilepsy, autism spectrum disorder and intellectual disability, attending a school for children with disability in year 3. They have had previous surgery on the right hip and can mobilise short distances with a frame but they use a wheelchair when out of the house.
Weight 25 kg.
Medications:
Baclofen 2.5 mg TDS
Gabapentin 30 mg nocte
Omeprazole 5 mg daily
Sodium valproate 250 mg BD
Describe your key points of discussion with the parents of this child.
77.5%
Viva 4
An 88-year-old woman is scheduled for an elective transcatheter aortic valve implantation (TAVI). Her aortic stenosis has been under surveillance since she underwent two-vessel coronary bypass grafting nine years ago. She has experienced worsening exertional dyspnoea (NYHA III) and orthopnoea over the past six months and had an admission for heart failure last month that responded to diuretics.
She is an ex-smoker (30 pack-year history) with moderate chronic obstructive pulmonary disease. Her current FEV1 is 1.2 litres (56% predicted). She had one admission for a respiratory illness in 2021 when she experienced COVID-19 pneumonitis.
Medications:
Amlodipine 5 mg mane
Aspirin 100 mg mane
Pantoprazole 20 mg mane
Ramipril 5 mg mane
Symbicort Turbuhaler (budesonide/formoterol) 200/6 mcg 2 puffs inhaled bd
Salbutamol inhaled prn
Biometrics:
Height 178 cm
Weight 58 kg
Body mass index 18.3 kg/m2
Body surface area 1.73 m2
What further information do you require on history?
79.2%
Viva 5
You are the anaesthetist in a regional hospital assigned to the morning emergency list. Your next patient is a 45-year-old man admitted the previous evening with haematuria and flank pain from a renal stone. He is booked for cystoscopy, laser litholapaxy and JJ stent insertion.
Past Medical History:
Hypertension
Type 2 diabetes mellitus
Ryanodine receptor mutation
Medications:
Metformin 500 mg BD
Ramipril 5 mg mane
CT Abdomen and Pelvis report conclusion:
The appearance of the left kidney is in keeping with obstructive uropathy and superimposed pyelonephritis.
What discussion points will you highlight in your pre-anaesthesia consultation with this patient?
69.2%
Viva 6
You are working in the MRI suite of a major regional hospital providing general anaesthesia.
Your next patient is a 35 year-old woman with sensorineural hearing loss for a brain MRI. She requires anaesthesia because of severe anxiety and claustrophobia. Her completed Patient Health Questionnaire is attached.
She received oral diazepam 10 mg one hour ago as premedication. She is calm and mildly sedated in the anaesthesia room adjacent to the MRI scanner.
Outline your preoperative assessment of this patient.
77.5%
Viva 7
You are called by the obstetrics registrar to insert an epidural catheter in a patient with preeclampsia for blood pressure management and labour analgesia. The patient is a 30-year-old primiparous woman who is at 35+5 weeks gestation. She has gestational diabetes (diet-controlled) and her only medication is low-dose aspirin for a family history of hypertension.
How will you assess this patient?
82.5%
Viva 8
You are the anaesthetist on-call for trauma in a major tertiary hospital. You have been asked to attend the Emergency Department for a 48-year-old man brought in by paramedics with stab wounds following a pub fight in a regional town two hours away.
He has no previous medical conditions and no known allergies.
You notice that he is obese. He is irritable but is obeying commands. He has a cut and bruising over his left eye. There are wounds on his abdomen covered by blood- soaked gauze packs, and further wounds on his leg, with a tourniquet on his upper thigh.
His observations are:
Heart rate 125 bpm Blood pressure 110/68 mmHg Respiratory rate 26 breaths per minute SpO2 96% on 10LO2/min via Hudson mask
The ED physician tells you that an eFAST scan is positive. The surgeon asks if you are able to go straight to theatre for exploratory laparotomy.
Would you prioritise Computed Tomography (CT) scanning for this patient before going to the operating theatre?
85.8%
Viva 9
As the duty anaesthetist, you receive a phone call from the emergency department physician at your regional hospital, requesting help with an incoming trauma patient. A 35-year-old male incarcerated person is being transferred by paramedics following an assault two hours ago whilst he was having his meal. He was kicked and punched in both the face and chest and there was an attempted strangulation.
You are informed over the phone that the patient has difficulty breathing and has bruising and swelling to the front of his neck but otherwise appears stable.
He has no allergies and is not on any medications. He smokes 10-15 cigarettes a day and has no significant medical history.
What actions will you take prior to the patient’s arrival?
73.9%
Viva 10
You are reviewing a 72-year-old woman in the anaesthetic bay of a metropolitan hospital. She is scheduled for an elective left total hip replacement and was previously assessed in the pre-anaesthetic clinic two months ago. Two years prior she underwent a right total knee replacement, which was complicated by a 48-hour High Dependency Admission as she was “slow to wake up” and required supplemental oxygen therapy.
Medical history:
Hypertension Obesity (body mass index 41 kg/m2)
Medications:
Atorvastatin 20 mg daily Candesartan/hydrochlorothiazide 16/12.5 mg daily
Outline the areas of focus in your preoperative assessment of this patient.
79.5%
Viva 11
You are the on-duty anaesthetist in a large regional centre with a paediatric surgical service. You are called to assist in the Emergency Department with the management of an otherwise healthy 2-year-old girl who has ingested drain cleaner (sodium hydroxide) at home about two hours ago. There are concerns about likely aspiration or inhalational injury from vapours.
The Emergency Medicine specialist tells you that the girl was brought in to hospital by her mother after she found the child sitting on the kitchen floor with a pile of drain cleaner crystals next to her and crystals on her hands and inside her mouth. The mother was unable to quantify the amount ingested. The girl vomited once on the way to hospital and is currently drooling and distressed in her mother’s arms.
What are the important issues to consider in the assessment of this child?
70.5%
Viva 12
You are working in the preadmission clinic, reviewing your patients for a respiratory medicine bronchoscopy list in a week’s time. Your next patient is a 74-year-old man who has been scheduled for an elective bronchoscopic lung volume reduction procedure by insertion of endobronchial valves.
Medical history:
Emphysematous chronic obstructive airways disease - home oxygen 1L/min, 18 hours per day
Ex-smoker – ceased 5 years ago, 60+ pack-year smoking history
Osteoarthritis
Peripheral vascular disease
Atrial fibrillation
Medications:
Ipratropium bromide MDI (21 mcg/puff) 2 puffs bd
Seretide Inhaler (fluticasone/salmeterol 25/250 mcg) 2 puffs bd
Salbutamol (100 mcg/puff) 2 puffs prn
Paracetamol 1 g tds
Rivaroxaban 15 mg daily
The respiratory physician will perform the procedure in the bronchoscopy suite of your major tertiary hospital and has requested the case be performed under general anaesthesia with spontaneous ventilation. The patient has a planned admission for two days post-procedure to monitor for any complications.
What further information about the procedure would you seek from the respiratory physician?
78.4%
Viva 13
You are an anaesthetist at a tertiary hospital working in the pre-anaesthetic clinic. You review a 74-year-old man who is booked for robotic assisted partial nephrectomy for a 5 cm right upper pole renal cell cancer.
Medical History:
Obesity
Controlled hypertension
Type 2 diabetes mellitus
Obstructive sleep apnoea (treated with CPAP)
Hypercholesterolaemia
Medications:
Amlodipine 10 mg daily
Aspirin 100 mg daily
Atorvastatin 40 mg daily
Empagliflozin 10 mg daily
Metformin 1000 mg twice daily
Perindopril 8 mg daily
Biometrics:
Height 183 cm
Weight 144 kg
BMI 43 kg/m2
How would you assess this patient for their partial nephrectomy?
92.0%
Viva 14
You are on-call from home for a private hospital that has Intensive Care and Interventional Radiological facilities. You receive a call from the Upper GI surgeon you regularly work with regarding a patient you anaesthetised ten days prior. The patient is a 72-year-old man who had a laparoscopic distal pancreatectomy to remove a pancreatic mass found incidentally.
Medical history:
Hypertension
Hypercholesterolaemia
Obesity (weight 108 kg, body mass index 34 kg/m2)
Medications:
Irbesartan 150 mg daily
Rosuvastatin 20 mg daily
The patient’s surgery and recovery were uneventful and he was discharged home on day four postoperatively. The patient’s anaesthetic, including airway management, was also uneventful.
The surgeon is calling you because the patient has just gone to radiology for coiling of a possible bleeding vessel and the surgeon wants to give you a “heads up” in case the patient needs to go to the operating theatre.
What further information would you like from the surgeon?
80.7%
Viva 15
A 28-year-old primigravida currently at 24 weeks gestation attends your high-risk obstetric clinic with her partner. She has recently been diagnosed with myotonic dystrophy and is under the care of a neurologist at your hospital. Her presenting symptoms were progressive muscle weakness and difficulty swallowing over a period of two years. She has had three hospital admissions for aspiration pneumonia, none of which required intensive care unit admission. The pregnancy has been confirmed with an early first trimester ultrasound scan and has been uneventful to date.
Observations:
Height 1.62 m
Weight 65 kg
Pulse rate 90 beats per minute
Blood pressure 100/60 mmHg
Respiratory rate 20 breaths per minute
SpO2 96% on room air
Airway examination:
Thyromental distance less than 5 cm
Mallampati class III
Inter-incisor distance greater than 4.5 cm
Good neck extension
Normal jaw protrusion
Cardiovascular examination:
Normal heart sounds with no additional sounds
No signs of heart failure
Neurologic examination:
Proximal muscle weakness
Presence of persistent grip with handshake
Mild scoliosis with curvature to left
Medications:
Bisoprolol 2.5 mg mane
Frusemide 20 mg mane
A recent transthoracic echocardiogram shows mild biventricular and biatrial dilation; left ventricular ejection fraction 45%; and pulmonary artery systolic pressure of 25 mmHg.
She would like to discuss options for labour analgesia. What would you recommend as the best option for her?
80.7%
Viva 16
You are urgently directed to Resuscitation in a metropolitan Major Trauma Centre. A 24-year-old driver was in a motor vehicle accident between his car and a lorry carrying 12-cm diameter pine logs, with a log penetrating the windshield and impaling his right thorax. The time since injury is 25 minutes. He is fully conscious and in severe pain.
His initial observations are:
Heart rate 128 bpm
Blood pressure 88/68 mmHg
Respiratory rate 28 breaths per minute
What further information do you require?
78.4%
16
Viva 1
You are the on-call anaesthetist at a private hospital. One of your regular colorectal surgeons has asked you to assess a 65-year-old man for an urgent laparoscopic high anterior resection for an obstructing tumour of his sigmoid colon. The surgeon would like to proceed later today and has booked an intensive care bed postoperatively in preparation.
Past medical history:
Hypertension
Ischaemic heart disease – percutaneous coronary intervention (PCI) six months prior after an acute coronary syndrome (ACS). A drug-eluting stent was placed in the left anterior descending coronary artery
Most recent echocardiogram at time of stent insertion – unremarkable with no regional wall motion abnormalities
Medications:
aspirin 100 mg daily
atorvastatin 40 mg daily
clopidogrel 75 mg daily
oxycodone 5 mg PRN
telmisartan 40 mg daily
The surgeon has asked for your advice regarding the perioperative management of his coronary stent and antiplatelet therapy. What is your advice?
71.0%
Viva 2
A 35-year-old primiparous woman is referred to your high risk obstetric clinic at 28 weeks gestation as she is a Jehovah’s Witness.
Medications:
pregnancy multivitamin
iron supplement
She has no known allergies.
Height 175 cm
Weight 83 kg
BMI 27 kg/m2
Outline your assessment of this patient.
91.0%
Viva 3
You are currently providing anaesthesia for the transoesophageal echocardiogram and cardioversion list. The cardiology registrar informs you that he has added a 65-year-old man to the end of the list. The patient presented to the emergency department two hours ago with severe shortness of breath. He has a history of multiple admissions to the Coronary Care Unit for management for his cardiac amyloid disease.
Medications on admission:
atorvastatin 40 mg daily
bisoprolol 2.5 mg daily
furosemide (frusemide) 40 mg twice daily
potassium chloride 1500 mg twice daily
prednisone 10 mg daily
rivaroxaban 20 mg daily
spironolactone 25 mg daily
image.png
What are the key issues concerning your management of this patient?
76.0%
Viva 4
On your morning vascular list today is a 78-year-old woman who has been scheduled for an elective carotid endarterectomy. She has been extensively reviewed in the preanaesthesia clinic. Her underlying cardiovascular disease is considered mild, stable and optimised. Her renal function is normal.
The patient has provided consent to receive either general anaesthesia or regional anaesthesia with conscious sedation. The surgeon has requested regional anaesthesia with conscious sedation.
Today’s observations:
SpO2 – 97% (room air)
HR 80 bpm, regular
BP 160/90 mmHg
RR 14 breaths/min
Height 166 cm
Weight 88 kg
BMI 31.9 kg/m2
Outline the key points you would explore before proceeding with a regional technique.
71.0%
Viva 5
You arrive at a trauma call in a regional hospital just as the emergency doctor has intubated the patient. As a self-inflating bag is being connected, a team member announces that they cannot feel a pulse.
You are told the patient is a 25-year-old male who fell approximately three metres as a result of collapsed scaffolding and has just been intubated because of increasing restlessness and a falling GCS (Glasgow Coma Scale).
You agree to lead the ongoing resuscitation.
The bedside monitor shows:
ECG HR: 120 bpm
Last recorded SBP: 90 mmHg
Blood pressure monitor is cycling and not recording a pressure
Pulse oximeter: 'searching'
How will you manage the resuscitation?
81.0%
Viva 6
You review a 42-year-old woman in the preanaesthesia clinic who is booked for left mastectomy and axillary clearance for breast cancer.
She has a history of nausea with opioid analgesics and experienced severe postoperative nausea and vomiting after a previous hysteroscopic fibroid resection.
What is your plan for anaesthesia and postoperative analgesia?
79.0%
Viva 7
It is the weekend and you are the anaesthetist on-duty at a remote regional hospital. You receive a request from the Emergency Department (ED) registrar to assist in the management of an 8-year-old boy who has hit a tree whilst mountain biking.
The boy has an open mid-shaft fracture of the femur and the ED staff have been unable to secure intravenous access.
Past Medical History:
asthma
attention-deficit/hyperactivity disorder
Medications:
methylphenidate 20mg daily
salbutamol 100 mcg prn
fluticasone 100 mcg daily
What major issues are you going to consider in the management of this child?
87.0%
Viva 8
A 55-year-old woman is admitted from the emergency department for management of severe low back pain. She has a history of chronic back pain and had an epidural steroid injection one week ago which has not improved her symptoms.
She weighs 87 kg, BMI 31 kg/m2.
Current medications:
empagliflozin 10 mg daily
buprenorphine patch 15 mcg/hr transdermally
fluoxetine 20 mg daily
gabapentin 300 mg twice daily
metformin 1 g twice daily
paracetamol 500mg + codeine phosphate 30 mg, 1-2 tabs 4-hourly PRN
perindopril 10 mg daily
As a member of the acute pain service, you are asked to see her and advise on the best management of her pain.
How will you assess her?
80.0%
Viva 9
You are an anaesthetist at a metropolitan private hospital. A 22-year-old woman requires surgery for an acute abdomen. She is day 4 post-laparoscopic sleeve gastrectomy that was performed for obesity. The ICU specialist has called you with her blood results.
sodium 140 (135 – 145 mmol/L)
potassium 3.0 (3.5 – 5.5 mmol/L)
chloride 112 (95 – 110 mmol/L)
bicarbonate 16 (20 – 32 mmol/L)
urea 8.7 (3.5 – 8.5 mmol/L)
creatinine 90 (60 – 110 µmol/L)
urate 0.41 (0.20 – 0.50 mmol/L)
calcium 2.10 (2.15 – 2.55 mmol/L)
phosphate 0.80 (0.80 – 1.50 mmol/L)
magnesium 0.58 (0.65 – 1.00 mmol/L)
glucose 14.2 (3.6 – 6.0 mmol/L)
Usual medications:
empagliflozin 10 mg daily
escitalopram 20 mg daily
lansoprazole 30 mg bd
metformin 500 mg bd
vitamin D 1000 IU daily
Outline your preoperative assessment and preparation of this patient for surgery.
78.0%
Viva 10
You are the obstetric anaesthetist on duty at a major public hospital. A 22-year-old primigravida is undergoing an induction of labour at 37 weeks gestation for fetal intrauterine growth restriction. Her BMI is 17 kg/m2.
Her medical history includes previous oxycodone substance use disorder, for which she takes Suboxone (buprenorphine-naloxone 32 mg/8 mg sublingually every second day). She has no other medical or obstetric history.
She had an epidural catheter inserted in early labour by a colleague for analgesia. Although she has difficult venous access, an ultrasound-guided 18-gauge cannula was successfully sited in her cubital fossa.
The morning handover indicates that the patient has required two clinician epidural top-ups overnight due to unsatisfactory analgesia. There is now reduced fetal heart rate variability on cardiotocogram (CTG) and the obstetric team would like to place a fetal scalp electrode. The patient is refusing this intervention due to persisting discomfort. The obstetric team requests your assistance to improve her analgesia.
What are your initial priorities in the management of her pain?
88.0%
Viva 11
A 63-year-old woman is booked for a pulmonary vein isolation for atrial fibrillation today. She is scheduled to be the first case on your afternoon list in the cardiac catheter laboratory.
She describes episodic palpitations lasting 30 to 40 minutes up to five times a day with associated fatigue and exertional limitation.
Past medical history:
Ischaemic heart disease – drug-eluting stent (DES) to proximal LAD 12 weeks ago for stable angina symptoms
Hypertension
Type 2 diabetes mellitus
Obstructive sleep apnoea requiring nocturnal CPAP
Elevated BMI (41 kg/m2)
Chronic kidney disease - baseline eGFR 65 mL/min/1.73m2
Current medications:
apixaban 5 mg bd
aspirin 100 mg daily
clopidogrel 75 mg daily
dapagliflozin 5 mg daily
bisoprolol 2.5 mg bd
insulin glargine 20 units nocte subcutaneously
irbesartan/hydrochlorothiazide 150 mg/12.5 mg daily
pantoprazole 40 mg daily
rosuvastatin 10 mg nocte
An ECG has been taken this morning. Her blood pressure is 118/79 mmHg and SpO2 98% (room air).
image.png
What additional information would you like to obtain from the patient prior to commencing anaesthesia?
70.0%
Viva 12
You are seeing a 58-year-old man in preadmission clinic prior to elective open abdominal aortic aneurysm repair.
He is known to have hypertension, hypercholesterolaemia and aortic regurgitation. He stopped smoking when his aneurysm was diagnosed 6 years ago.
He lives independently in his own home with his wife.
He uses a stationary exercise bike three times per week for 20 minutes and enjoys gardening.
Current medications:
amlodipine 5 mg daily
aspirin (enteric-coated) 100 mg daily
enalapril 10 mg daily
simvastatin 20 mg daily
How will you evaluate this man for the proposed procedure?
69.0%
Viva 13
A 62-year-old woman has just arrived by ambulance to your burns centre emergency department and you have been called to assist as part of the trauma team. She was caught in a house fire where she was trapped indoors for ten minutes before firefighters were able to free her. Forty-five minutes have lapsed since rescue.
Past medical history:
Smoking 40 pack-year history
Mechanical mitral valve replacement
Chronic kidney disease
Medications:
warfarin 5 mg daily
Examination findings:
Approximate weight 70 kg
SpO2 99% (oxygen via Hudson mask at 10 L/min)
HR 120 bpm (sinus rhythm)
BP 100/70 mmHg
RR 21/min, shallow breathing and coughing intermittently
Chest auscultation: mild diffuse wheeze.
Her burn injuries have been documented by the paramedic in the diagram overleaf (hashed areas). The burnt skin is a blotchy red or dark pink colour and has large blisters. Capillary refill is sluggish (> 2 seconds) and there is loss of sensation in some areas.
She is confused about the events, visibly distressed and in pain. She has been administered 10 mg of morphine intravenously.
image.png
How do you assess her burn injuries?
66.0%
Viva 14
You are asked to review a 40-year-old man in the emergency department who has trismus secondary to a dental abscess. He has severe intellectual impairment and is nonverbal. His caregiver is with him.
The maxillofacial surgeon wishes to bring him to theatre urgently to remove a lower molar tooth and incise and drain his submandibular abscess.
image.png
How will you assess this man’s airway?
76.0%
Viva 15
A 2-year-old girl weighing 13 kg presents for bilateral strabismus (squint) surgery at a stand-alone day surgery facility.
She was born at 34 weeks gestation weighing 2.2 kg.
How will you establish she is suitable for day surgery?
81.0%
Viva 16
You are an anaesthetist working in a major hospital which includes neurosurgery.
You are currently in the preanaesthetic assessment clinic reviewing a 52-year-old man for his suitability to undergo awake craniotomy for tumour resection.
He presented with a headache and right-sided weakness two weeks ago.
Since diagnosis, his oral medications are:
dexamethasone 4 mg TDS
levetiracetam 500 mg BD
Weight 110 kg, height 182 cm (BMI 33kg/m2).
image.png
What does this scan show and how will you assess this patient’s suitability for awake craniotomy?
78.0%
16
Viva 1
A 30-year old man booked for an emergency laparoscopic cholecystectomy for a gangrenous gallbladder. He has a past medical history of juvenile idiopathic arthritis (formerly juvenile rheumatoid arthritis).
He appears unwell and is vomiting.
Vital signs
Blood pressure 100/60 mmHg
Heart rate 120 bpm
SpO2 93% (room air)
Respiratory rate 20 per minute
T 38.5°C
Based on the provided history and findings, describe your initial assessment of this patient.
76.5%
Viva 2
You are on-call at a tertiary hospital and receive a theatre booking from a surgeon at 23:00 hours for an urgent endoscopic retrograde cholangiopancreatography (ERCP).
The patient is a 30-year-old male (weight 60 kg) who presented with a three-day history of vomiting and jaundice and has been diagnosed with ascending cholangitis due to choledocholithiasis.
He is febrile at 38.5°C and tachycardic at 110 bpm.
His past medical history includes stage III testicular cancer diagnosed 12 years ago, for which he underwent radical orchidectomy followed by 18 months of chemotherapy with bleomycin and cisplastin.
During his latest surveillance review with oncology he was sent for some further investigations to assess progressive shortness of breath. His pulmonary function tests and chest X-ray are shown below.
image.png
image.png
What further information would you like to obtain?
83.7%
Viva 3
You are the on-call consultant in a regional hospital. The anaesthesia registrar calls you at 22:30 hours reporting that there is a 14-month-old child in the emergency department with a foreign body in the mid-oesophagus visible on chest X-ray. There is an ENT consultant available to take the child to theatre.
image.png
How would you assess the urgency of this case?
77.6%
Viva 4
You are the anaesthetist on-call in a large regional hospital. You have been asked to provide epidural analgesia to a 32-year-old parturient (gravida 1, para 0, 41+1 weeks gestation) after commencement of induction of labour for prolonged pregnancy.
The midwife informs you that the patient moved from Mongolia two years ago and is not fluent in English, although her husband in fluent in English. She has had an unremarkable antenatal course.
Her past medical history includes mild asthma (no regular treatment required).
When you attend the patient, she is noted to be in established labour with some distress due to contraction pain. She is 148 cm tall and weighs 55 kg.
How will you obtain consent for this patient’s labour epidural?
90.8%
Viva 5
A 76-year-old man with infected pacing wires has been scheduled for removal of his entire pacing system under general anaesthesia. The procedure is to be performed in a hybrid theatre in the cardiology department.
Current medications
aspirin 100 mg daily
atorvastatin 40 mg daily
flucloxacillin 2g qid IV
perindopril 1 mg daily
His chest X-ray is displayed.
Considering your clinical assessment of this man, what are your main areas of concern?
65.3%
Viva 6
You are the duty anaesthetist in a small regional hospital and have been called urgently to assist the anaesthesia registrar in the emergency theatre.
The registrar is anaesthetising a previously well 25-year-old man (75 kg, ASA I) who is undergoing open reduction and internal fixation of a fractured tibia and fibula sustained in a skiing accident two days ago. The registrar has noted progressive desaturation and increasing tachycardia over last 15 minutes. The surgeons have deflated the torniquet and are closing the wound.
image.png
What will you do when you enter the operating room?
80.6%
Viva 7
You are the anaesthetist on-call in a major trauma centre. The orthopaedic registrar has booked a 45-year-old woman for an urgent C3 – C7 decompression and fusion for C5/6 bilateral facet joint fracture-dislocations. She has an incomplete spinal cord injury.
The patient sustained the injury jumping off a cliff in an act of deliberate self-harm. She has had a prolonged extraction time due to difficult terrain.
Past medical history
anxiety and depression with multiple previous suicide attempts
polysubstance use disorder with previous intravenous drug use
Medications
clonazepam 0.5 – 1.0 mg PRN for anxiety
methadone 100mg mane
quetiapine 300mg nocte
image.png
Please comment on her chest X-ray.
77.6%
Viva 8
A 75-year-old woman presented to the emergency department following a fall in which she sustained a fractured right hip. She has no other injuries and is cognitively intact. She has been scheduled for a right hemiarthroplasty as the first case on the operating list tomorrow morning.
Past medical history
Polymyalgia rheumatica
Chronic alcohol consumption (60 g per day)
Previous deep vein thrombosis with pulmonary embolism
Chronic kidney disease
Height: 162cm Weight: 61kg
Medications
Fluoxetine 40 mg mane
Perindopril/indapamide 5 mg/1.25 mg mane
Prednisolone 15 mg mane
Rivaroxaban 15 mg mane
Rosuvastatin 20 mg mane
Blood test results on admission to the emergency department:
Haemoglobin 82 g/L (115-160)
Platelets 117 x10^9/L (150-450)
Na+ 127 mmol/L (135 - 145)
K+ 4.2 mmol/L (3.5 - 5.5)
Cl- 103 mmol/L (95 - 110)
HCO3- 20 mmol/L (20 - 32)
Urea 12 mmol/L (2.5 - 7.0)
Creatinine 145 mmol/L (45 - 95)
eGFR 30 mL/min/1.73m2 (>90)
Albumin 26 g/L (33 - 46)
A cardiac rhythm strip was printed in the Emergency Department, as shown below:
image.png
How will you assess if this patient is suitable for surgery tomorrow morning?
81.6%
Viva 9
You are running the emergency theatre in a regional hospital on a Sunday morning when you receive a phone call from the emergency department (ED) consultant.
A 23-year-old man with an intellectual disability has presented with a productive cough and haemoptysis after a choking episode the previous evening whilst eating dinner.
The ED consultant asks you to provide assistance with sedation for a CT chest due to the patient’s non-compliance with lying still.
What would you like to know from the ED consultant when she calls you?
72.2%
Viva 10
A 74-year-old woman presents to the preanaesthesia clinic for review ahead of a laparoscopic right hemicolectomy for colorectal cancer. She is a smoker and has a background of longstanding bronchial carcinoid tumours.
How would you assess this woman?
75.6%
Viva 11
You have been asked to take over an elective list at a tertiary paediatric hospital as the regular anaesthetist is delayed in the postanaesthesia care unit by a postoperative airway event.
The next patient is a five-year-old First Nations boy (weight 28 kg) from a regional centre who is accompanied by his grandmother who is his legal guardian. He is booked for adenotonsillectomy for the management of obstructive sleep apnoea. His surgery was previously cancelled three months ago. The anaesthetist had just administered ketamine and midazolam premedication to this child when he was called away.
What further information do you require to proceed with this case.
74.4%
Viva 12
You are the anaesthetist covering the obstetric theatre at a large regional hospital. A 30-year-old primiparous woman at 38 weeks gestation is booked for a category 2 caesarean section for a non- reassuring cardiotocograph (CTG).
The patient has pre-eclampsia with a blood pressure of 160/100 mmHg while on antihypertensive treatment. She is not currently in labour. She is morbidly obese with a BMI of 58 (height 168 cm, weight 164 kg).
When you review the patient, she tells you that she is needle-phobic and wants to “be asleep” for the procedure.
Current medications
Labetalol 40 mg q30 min IV
Magnesium 1g / hour IV
Methyldopa 500 mg PO QID
Nifedipine IR 10 mg PO
There are no known drug allergies.
How will you approach this situation?
74.4%
Viva 13
A 28-year-old male is booked on your list for resection of a large right-sided posterior mediastinal tumour. This was diagnosed after he presented with increased breathlessness and cough. He has no other significant comorbidities.
image.png
How will you assess this patient preoperatively?
76.7%
Viva 14
You are the on-call consultant anaesthetist at a small regional hospital. At 09:00 hours on a Saturday morning you receive a call from the surgical registrar regarding a 69-year-old man who presented to the emergency department with a 24-hour history of worsening abdominal pain. An erect chest X-ray demonstrates free gas under the diaphragm.
The surgical registrar would like to bring the patient to theatre for a laparotomy.
Past medical history
Current smoker – 50 pack-years
Ischaemic heart disease – non-obstructive, medical management
Abdominal aortic aneurysm – 4 cm diameter, currently under surveillance
Medications
Aspirin 100 mg daily
Atenolol 50 mg daily
Ibuprofen 400 mg tds PRN
Perindopril 5 mg daily
Rosuvastatin 20 mg daily
Height 175 cm
Weight 80 kg
BMI 26.1 kg/m2
(ideal body weight 70 kg)
Outline how you would respond to this request.
80.0%
Viva 15
As the duty anaesthetist in a tertiary hospital, you are asked to attend the emergency department for the impending arrival of a 38-year-old male who has been struck on the head while working on a building site. On arrival with the paramedics he is unconscious with a laryngeal mask airway in situ. He has a compression bandage applied to his head and severe right periorbital and midface swelling
The initial observations from the paramedics are as follows:
Heart rate 76 bpm
Blood Pressure 167/90 mmHg
SpO2 90% spontaneous ventilating on a T-piece with oxygen at 15 L/min
Respiratory rate 28/min
Left pupil size 4 and non-reactive
Right pupil size 2 and sluggishly reactive
What are your priorities in the management of this patient?
75.6%
Viva 16
You are seeing a 72-year-old man in the preanaesthesia clinic of your tertiary hospital. He is booked for a wide local excision of a sarcoma of the right latissimus dorsi muscle in ten days time.
The surgeon requests that he is positioned in the left lateral decubitus position. The surgery is anticipated to take two to three hours.
Past medical history
Coronary artery stent
Type 2 diabetes mellitus
Hypertension
Transient ischaemic attack two years ago
Medications
Clopidogrel 75 mg daily
Metformin 500 mg twice daily
Perindopril 8 mg daily
Rosuvastatin 20 mg daily
Observations performed in clinic
Blood pressure 165/95 mmHg
Heart rate 85 bpm
SpO2 98% on room air
Random blood glucose 8.5 mmol/L
Height 1.78m Weight 95 kg BMI 30
How will you assess this patient’s cardiovascular system?
73.3%
16
Viva 1
You review a 67-year-old man in the Preadmission Clinic (PAC) for a left hemihepatectomy via a roof-top incision for metastatic colon cancer.
He underwent a right hemicolectomy four months ago for primary cancer resection. The procedure was complicated by an extended stay in hospital due to suboptimal pain management.
Past medical history:
Hypertension
Lower limb peripheral neuropathy secondary to chemotherapy
Ex-smoker with 30 pack-year history
Medications & allergies
perindopril 5 mg daily
amitriptyline 25 mg nocte
Nil known allergies
Observations in PAC
BP - 160/85 mmHg
HR- 75 bpm
SpO2 - 98% on room air
weight - 65 kg
height - 180 cm
BMI – 20 kg/m2
Liver function test results:
image.png
All other blood results are normal.
Outline your concerns regarding the patient’s fitness for surgery.
69.9%
Viva 2
You are on call at the Children’s Hospital. At 1730 hours you are asked to review a 7-year-old girl with Down syndrome in the Emergency Department (ED) who sustained a supracondylar fracture of the left humerus whilst playing on a trampoline at a birthday party. She is booked on the emergency list for closed reduction and percutaneous pinning of the fracture.
On your arrival in ED you are informed that the girl has received intranasal fentanyl 50 mcg following one unsuccessful attempt to gain IV access.
The dose of fentanyl was based on a weight of 31 kg which had been documented in the girl’s case notes at a recent outpatient clinic appointment.
How will you approach your anaesthetic assessment of this girl?
86.0%
Viva 3
You attend the subacute Coronary Care Unit to review a 52-year-old man with a six week history of increasing dyspnoea who has been scheduled for revision aortic valve replacement +/- mitral annuloplasty tomorrow.
His past history includes a bioprosthetic aortic valve replacement eight years ago.
On admission his echocardiogram showed severe aortic regurgitation and moderate mitral regurgitation, with an estimated left ventricular ejection fraction of 35% and a moderately dilated left ventricle.
His only regular medication prior to this admission was aspirin 100 mg daily, but during this admission he has been commenced on:
furosemide (frusemide) 80 mg bd orally
perindopril 6 mg mane orally
dobutamine infusion 2.5 mcg/kg/min intravenously.
When you attend the ward you find him walking around with his IV pole.
He weighs 80 kg.
Outline how you would determine if this patient is optimised for his surgery.
73.1%
Viva 4
A 32-year-old woman attends the obstetric anaesthetic assessment clinic, having been referred by the obstetric registrar.
She is 24 weeks into her first pregnancy, and has a history of multiple sclerosis. She uses a walking stick. Her other medical history includes anxiety.
There are no other relevant obstetric, medical or anaesthetic issues. She had an uneventful general anaesthetic for an appendicectomy at this hospital last year for which you have the anaesthetic record. There were no airway issues.
She takes escitalopram and has monthly ocrelizumab infusions, which have been withheld in pregnancy. She has no allergies.
She wishes to discuss analgesia in labour and anaesthesia should a caesarean or other operative intervention be required.
What further information do you require to address the patient’s concerns?
83.9%
Viva 5
Your next patient on the emergency list is a 24-year-old man scheduled for a laparoscopic appendicectomy. His only past medical history is that of occasional self-limiting palpitations on exertion. He has been sick for three days with severe abdominal pain, nausea and vomiting.
He weighs 70 kg.
His vital signs are:
temperature 38.5° C
heart rate 106 bpm
blood pressure 100/71 mmHg
The surgeon suspects a perforated appendix.
He has an electrocardiogram (ECG) in his notes.
image.png
Please describe this ECG
76.3%
Viva 6
You are assessing a patient on the neurosurgical ward who is booked on your list tomorrow for coiling of cerebral aneurysms in the hospital’s interventional radiology suite.
The 56-year-old woman presented earlier in the day with a two day history of severe headache, vomiting and malaise that was unresponsive to paracetamol. There has been no change to her level of consciousness or focal neurological deficits.
Cranial CT revealed five intracerebral aneurysms, the largest in the anterior communicating artery. There is evidence of diffuse subarachnoid haemorrhage, Fisher grade 2.
Her vital signs are:
blood pressure 145/75 mmHg MAP 88 mmHg
pulse 85/min sinus rhythm
Past medical history
Polycystic kidney disease
renal transplant 10 years ago
end-stage renal disease treated with haemodialysis for two years prior to transplantation
Hypertension
Medications
atorvastatin 20mg daily
enalapril 5mg BD
mycophenolate 1g BD
prednisone 5mg daily
tacrolimus 5mg BD
trimethoprim / sulphamethoxazole one tab BD
What specific information do you require about this patient’s medical problems to ensure optimisation for the coiling procedure?
72.0%
Viva 7
A 50-year-old woman has been transferred to your tertiary referral centre for a total thyroidectomy for a massive goitre with associated recent voice change.
You review her on the ward as she is booked on your list for the following day.
Medications:
carbimazole 15 mg bd
propranolol 40 mg bd
rosuvastatin 10 mg daily
Weight 120 kg
Height 165 cm
BMI 44 kg/m2
image.png
How will you assess her airway preoperatively?
83.9%
Viva 8
You are the on-call anaesthetist for a regional base hospital. It is 2030 hours and you have just arrived in the carpark to review a patient for tomorrow’s elective operating list, when you receive a request for assistance from the ED consultant. He is busy resuscitating a sick patient and cannot attend a new category 1 trauma patient that has just arrived by ambulance.
The new arrival is a 45-year-old man who has been assaulted at a local hotel. He has been struck in the neck with a broken beer bottle and was found by paramedics lying on the floor of the public bar. They noticed profuse bleeding from an anterior neck wound before applying some gauze.
He is restless, irritable and combative.
How are you going to manage this situation?
73.1%
Viva 9
A 45-year-old man presents to your Preadmission Clinic for a review ahead of an open left adrenalectomy for phaeochromocytoma in four weeks time.
He currently takes the following medications:
Bio Magnesium supplements 2 capsules daily
dapagliflozin 10 mg mane
enalapril 40 mg mane
frusemide 20 mg mane
metoprolol 100 mg BD
How would you assess a patient with a phaeochromocytoma who is to undergo surgical resection?
81.2%
Viva 10
You are the duty anaesthetist in a regional hospital. You are called to the Emergency Department by the surgical registrar to review an 8-year-old boy who has been booked for an urgent appendicectomy.
The child has been previously well and presents with a three day history of abdominal pain and vomiting.
An ultrasound has been performed which suggests appendicitis. The surgical registrar would like to operate as soon as possible as he thinks the child is showing signs of sepsis.
Initial information on booking:
weight 25 kg
pulse 150 bpm
BP 80/40 mmHg
RR 45 bpm
temp 37.3° C
FBC:
Hb 120 g/L (110- 155)
WCC 17 x109 /L (4-11.0)
Plt 250 x109/L (140-400)
Electrolytes and renal function:
Na 133 mmol/L (133-144)
K 3.5 mmol/L (3.6-5.3)
Cl 104 mmol/L (97-110)
Bicarbonate 8 mmol/L (22-29)
Urea 5.0 mmol/L (2.7-7.8)
Creatinine 35 µmol/L (20-44)
What specific features would you look for in the assessment of this child?
81.2%
Viva 11
You are seeing a 64-year-old man in the Preadmission Clinic who is booked for a left lower lobectomy for non-small cell carcinoma.
He is on your list in two weeks’ time.
Past Medical History:
hypertension
type II diabetes mellitus
paroxysmal atrial fibrillation
Medications
perindopril 2mg bd
rivaroxaban 20 mg daily
metoprolol 50mg bd
empagliflozin 10mg daily

He currently smokes 1 packet cigarettes per day and has a 42 pack-year history.
Height - 177cm Weight - 74 kg BMI 23.6 kg/m2
His chest CT scan is displayed below.
image.png
How will you assess this patient’s suitability to undergo a lobectomy?
82.5%
Viva 12
You are asked to provide analgesia for a 26-year-old woman who presented in labour to your regional hospital on a weekday. She has a three month history of shortness of breath on minimal exertion. She has not presented for any antenatal care during the pregnancy and the shortness of breath has not been investigated. Otherwise she has had an uneventful pregnancy.
Her observations are:
Pulse 110/min
BP 110/80 mmHg
Respiratory rate 24/min
SpO2 95%
Height 170 cm
Weight 75 kg
How will you assess this patient?
83.8%
Viva 13
A 47-year-old woman with acromegaly attends your preoperative assessment clinic one week prior to undergoing a transsphenoidal hypophysectomy for pituitary adenoma. She has a history of hypertension and type II diabetes mellitus. She is a heavy smoker, has a hoarse voice and reports a recent hospital admission for investigation of shortness of breath on exertion.
Medications:
lisinopril 20 mg daily
metformin 1000 mg nocte
metoprolol 100 mg mane
octreotide 75 mcg subcutaneously x 3 daily
What features of the history will help you determine the severity of her condition?
86.2%
Viva 14
You are reviewing a 44-year-old man for revision ventriculoperitoneal shunt for congenital aqueductal stenosis which was first diagnosed at age 13. This operation will be his fourth revision. He is an inpatient on the neurosurgical ward.
His current medications are:
dexamethasone 4 mg bd orally
omeprazole 20 mg mane orally
levetiracetam (Keppra) 250 mg bd orally
image.png
Please comment on the CT scan and explain what specific information you would like in your assessment of this patient.
88.8%
Viva 15
You are working in the day surgery unit of a large regional hospital and allocated to a gynaecology list with a registrar. The next patient on the list is a 23-year-old woman booked for a hysteroscopic myomectomy.
Past Medical History
Menorrhagia secondary to uterine fibroids
Anxiety
Medications
Ferrous sulphate
Fluoxetine
Past Surgical History
Hysteroscopic myomectomy 2019
What additional information would you like to obtain to assist in formulating an anaesthetic plan?
78.8%
Viva 16
You are the on-site anaesthetist in a large regional centre and have been called to the Emergency Department to assist with the management of an 70 year-old woman who was brought in by ambulance ten minutes ago after falling down the stairs at home.
The patient lives independently and was discovered at the base of the stairs by her visiting daughter this morning after having fallen down the stairs last night. The patient was unable to reach the telephone to call for help and was not wearing her personal alarm button.
The patient is sitting up on a trolley and appears short of breath.
Observations:
HR - 113 bpm
BP – 148/92 mmHg non-invasively
SpO2 - 92 % on oxygen 15 l/min via non-rebreather mask
GCS - 12 (E3 V4 M5)
Past medical history:
atrial fibrillation
chronic back pain
Regular medications:
apixaban 2.5 mg bd
buprenorphine transdermal patch 15mcg/hour
digoxin 125 mcg daily
perindopril 2 mg daily
Describe your initial assessment and management of this patient.
83.8%
16
Viva 1
A 47-year-old male is brought into the emergency department of a tertiary hospital where you are the anaesthetist on call.
He has sustained abdominal gunshot wounds about 2 hours ago with only minor revealed bleeding obvious. He is diaphoretic and agitated requiring restraint. Your help is required to assist keeping him still enough for larger bore intravenous access (he currently has a 20 gauge cannula) and CT angiogram. He is believed to have recently used methamphetamine.
He has a background of illicit drug use and a known methamphetamine induced cardiomyopathy (ejection fraction 20-30% on recent echocardiogram). He has extremely poor dentition (“Meth Mouth”).
How would you assess his volume status for anaesthetic intervention prior to imaging?
71.0%
Viva 2
You are called to the Emergency Department at 12pm to assess a 75-year-old female with an acute anterior cerebral circulation ischaemic stroke. She has facial paresis, arm weakness and abnormal speech.
Her past history includes atrial fibrillation, type 2 diabetes and hypertension.
Her medications are:
The onset of symptoms was 2 hours prior to admission. Her GCS is 15 and she is compliant with instructions. She has been scheduled for urgent clot retrieval.
What will you do when you arrive in the Emergency Department?
88.0%
Viva 3
You are midway through an ENT list at a large metropolitan private hospital.
The nurse in the admissions unit brings in an ECG for you to review, along with a GP Health Summary.
The patient is scheduled for balloon dilatation of subglottic stenosis later on the list.
image.png
Interpret the ECG.
60.0%
Viva 4
You are a consultant anaesthetist at a metropolitan tertiary hospital. On the day’s emergency list is an 82-year-old man for the debridement of his right forefoot.
He is a current inpatient having been admitted from home, unwell with sepsis, the previous day.
From the intern admission note you see that he has a significant past medical history including:
Hypertension
CCF – medically managed
Chronic renal impairment – eGFR 42 mL/min/1.73m2
Aortic stenosis managed by TAVI in 2019 and complicated by CVA with mild residual dysphasia
Dual antiplatelet therapy
Progressive dementia – still lives at home with support from his family and aged care service providers who visit daily
You go to the ward to pre-operatively assess him.
He is the patriarch of a large family and his son (who has medical power of attorney) is in attendance.
How would you assess his peri-operative risk of both morbidity and mortality?
89.0%
Viva 5
A 55-year-old male has been added to your general surgical list for the laparoscopic insertion of a peritoneal dialysis catheter.
Their past medical history is of end stage renal failure, chronic obstructive pulmonary disease and hypertension.
His medications include:
amlodipine 10 mg po daily
frusemide 120 mg po mane
fluticasone/salmeterol inhaler two doses bd
He has had worsening shortness of breath on exertion over the past month. He tells you that at his last consultation with his respiratory physician he was told that he has “high blood pressure in his lungs”.
How will you assess the severity of this patient’s recently diagnosed pulmonary hypertension?
90.0%
Viva 6
You are reviewing a child in the pre-anaesthetic clinic of a tertiary paediatric centre.
He is a 20 kg 23-month-old boy with moderate global developmental delay and seizure activity on EEG. You are booked to anaesthetise him for an MRI brain scan the following day.
Describe your approach to the assessment of this child.
83.0%
Viva 7
You are called to the emergency room of a level 1 trauma centre as part of a trauma team call.
A convoy of 15 motorcyclists was struck by a truck. There was a fire at the scene and 2 people have died on site. Your centre is receiving 3 patients. You are assigned as the airway doctor for 1 of the patients arriving by road ambulance.
Additional information provided by paramedics:
He is a 48-year-old male, weight 123 kg and height around 174 cm. He was wearing an open-faced helmet, removed at the scene. He has a partially singed beard with bruising and swelling of his midface. He is vocalising with no obvious stridor or hoarseness.
What are your specific airway concerns?
83.0%
Viva 8
You have been asked to put in an epidural in a G1 P0 woman who has presented in spontaneous labour at 38 weeks’ gestation. She has a normal body habitus. She has no significant past medical history.
Her antenatal history is unremarkable other than stable gestational thrombocytopaenia.
An FBE was performed at 36 weeks gestation.
(Reference Range)
Hb 129 g/L (115–165)
WCC 11 x 10^9 /L (4–11)
Plt 88 x 10^9 /L (150–400)
When you enter the room, she is in obvious pain and states “Just put the epidural in!”
How will you assess this patient for an epidural?
85.0%
Viva 9
A 28-year-old female, 39/40 pregnant, presents to a tertiary referral hospital in early labour post induction for fetal macrosomia.
Her history is significant for morbid obesity (BMI 44) and labile severe asthma.
You have been consulted for a labour epidural.
What information would you clarify prior to obtaining consent?
88.0%
Viva 10
You are the duty anesthetist for your cardiovascular theatres.
You are called to the cardiac catheter lab recovery where they have a hypotensive patient following coronary angiography.
The medical emergency team (MET) have been called. The patient is a 55-year-old 85 kg male. He has no allergies or anaesthetic issues.He has a new presentation of heart failure and is being assessed for coronary artery disease.
His pre procedure echocardiogram showed a mildly dilated left ventricle with moderate dysfunction and an ejection fraction of 40%. On entering the recovery room you notice a number of people around the patient with more arriving.
The monitor shows:
image.png
What will you do?
76.0%
Viva 11
You are the day time anaesthetist on for trauma calls at a major trauma hospital.
You have been asked to attend a trauma call in the Emergency Department for a 68-year-old woman after a motor vehicle accident earlier today.
The patient was driving on the highway and her car crashed into a tree. She has a past history of hypertension, previous TIA and previous DVT.
Currently she is alert and talking with a GCS of 15. Her BP is 130/80, HR 110bpm and SO2 95% on 6L via Hudson mask.
This is her Chest X-ray on admission:
image.png
What are your concerns?
79.0%
Viva 12
You are doing an ECT list at a private stand-alone facility.
Your 2nd patient of the morning is a 55-year-old male having his first ECT titration for schizophrenia with bipolar disorder.
He has a history of hypertension, hypercholesterolaemia, and is a current smoker.
His medications are as follows:
amlodipine
lithium
olanzapine
rosuvastain
Discuss your preoperative approach to this patient?
70.0%
Viva 13
It is 0700 hrs and you are the anaesthetist rostered to a morning ENT list in a tertiary referral hospital.
The first case is a three-year-old boy for tonsillectomy. The referral states he has attention deficit hyperactivity disorder (ADHD), asthma and had bilateral grommets inserted one year previously. He presents with his mother.
His current medications are:
dexamphetamine
clonidine
budesonide
salbutamol
What are the key features of your assessment?
84.0%
Viva 14
A 65-year-old female with long standing laryngeal papillomatosis, presents for laser ablation.
She has dyspnoea and hoarseness that has worsened significantly in the last month. She is on no medications.
Below is her preoperative ECG:
image.png
Describe this ECG.
62.0%
Viva 15
You are in pre-assessment clinic reviewing a 68-year-old female.
She is booked for bilateral total knee joint replacement surgery.
Her initial details and medications have been documented by the clinic nurse:
Height 162 cm
Weight 100 kg
Body Mass Index 38.1 kg/m2
Medications:
insulin via pump
fentanyl patch 12 µg/hr TD q72hrly
pregabalin 150 mg PO BD
paracetamol 667 mg PO TDS
quinapril/hydrochlorthiazide 10 mg/12.5 mg PO daily
atorvastatin 40 mg PO daily
aspirin 100 mg PO daily (stopped by surgeon 2 days ago)
clopidogrel 75 mg PO daily (stopped by surgeon 2 days ago)
pantoprazole 40 mg PO daily
Allergies:
penicillin (rash)
Given this information, what medical problems are indicated that you will need to assess further?
89.0%
Viva 16
As the duty anaesthetist receiving emergency bookings, you take a phone call from the ENT registrar, who is in the Emergency Department with a 26-year-old man requiring urgent surgical drainage of a suspected peritonsillar abscess.
The registrar reports that the patient is very distressed, refuses to lie flat and cannot open his mouth more than 1.5cm.
Outline your initial management, assessment and concerns for anaesthesia.
91.0%
8
Viva 1
A 56-year-old man with supraglottitis required a tracheostomy under local anaesthetic on presentation to hospital three days ago.
Since that time, he has been in the Intensive Care Unit receiving antibiotics and dexamethasone.
Overnight the anaesthetic registrar was asked to see the man regarding some minor neck swelling. This was managed conservatively. This morning the man has been restless and has completely dislodged his tracheostomy.
You are called as the duty anaesthetist to assist the junior ICU registrar.
As you arrive into the ICU bay this is how the patient appears:
He is moving around the bed trying to get himself comfortable. His observations as they appear on the
ICU monitor are:
RR 26
SaO2 90% on Oxygen 10l/min
BP 100/52 mmHg
HR 125 bpm
image.png
Outline your initial assessment and urgent management
70.0%
Viva 2
You are the anaesthetist for the emergency theatre at a tertiary hospital.
The surgeons have booked an 81-year-old male patient for repair of an incarcerated upper abdominal incisional hernia.
You review him in the Emergency department.
81-year-old male
Examination:
On 2L/min oxygen, tachypnoeic
Pulse rate120 bpm
BP 105/65
Past medical history
CABG / MVR (St Jude mechanical valve) 2002
Chronic obstructive pulmonary disease with bullous disease – home oxygen 18 hours per day
Bowel cancer - laparotomy 2018
Medications:
metoprolol 50 mg daily
digoxin 62.5 microg daily
irbesartan / hydrochlorothiazide (150/12.5mg) daily
warfarin 5mg daily (INR target 2.5-3.5)
tiotropium inhaler 2.5microg daily (Spiriva)
fluticasone / salmeterol (250/25microg) 2 puffs twice daily (Seretide)
salbutamol inhaler prn
How do you plan to assess and optimise this patient prior to surgery?
81.0%
Viva 3
You are the consultant covering labour ward and have been phoned on the obstetric emergency phone to attend the delivery suite as part of the obstetric emergency team in a large tertiary hospital.
The patient is a previously well 30-year-old primigravida (38/40) having an induction of labour for prolonged premature rupture of membranes.
Her husband had alerted the delivery suite staff that she had become unconscious and was having a seizure.
She has an 18 gauge cannula insitu and was recently started on patient controlled epidural analgesia.
The obstetrician, neonatal team and midwives are present when you arrive.
The seizure has terminated. She is not responsive.
Her observations on your arrival are:
HR 76 bpm
BP 92/55
SaO2 86% on oxygen 6l/min
Outline your management on arrival
68.0%
Viva 4
A 12-year-old boy has been a late addition to your dental list today at a small private hospital. He is scheduled for removal of three carious teeth under general anaesthesia.
Past medical history
attention-deficit hyperactivity disorder (ADHD)
adenotonsillectomy aged 6 years
Medications
methylphenidate (controlled release) 60 mg mane, not taken today
Allergies
Nil known
Observations on admission
Height 152 cm
weight 45 kg
temperature 36.6 degrees Celsius
pulse rate 96 bpm
blood pressure 106/62 mmHg
SaO2 99% (room air)
In your preoperative review of this patient with his father, what specific information on history and examination will you seek?
85.0%
Viva 5
You are assessing an 80-year-old man in the coronary care unit just prior to a planned permanent pacemaker insertion for persistent bradyarrhythmias.
The cardiologist has requested anaesthesia assistance as the patient has been having difficulty lying flat due to back pain.
He had an elective proximal right coronary artery stent seven days ago, and a TAVI performed under general anaesthesia five days ago, for treatment of his coronary artery disease and severe aortic stenosis.
How would you assess this patient prior to his procedure?
75.0%
Viva 6
You are the anaesthetist covering the Intensive Care Unit and operating theatres for a rural hospital on a weekend. You are asked to assist in the management of a 55 year old female brought in by ambulance to the Emergency Department with nausea, vomiting, rigors and fever.
Medications:
rivaroxaban
sotalol
Vital Signs:
HR 108
BP 90/40
RR 18
Temp 38.8
SaO2 96% room air
Weight 80 kg
Venous Blood Gas room air:
FiO2 0.21
pH 7.31 [7.35-7.45]
PCO2 30 (4) [41-51 mmHg] (5.5-7.6 kPa)
PO2 45 (6) [> 40 mmHg] (> 5.3 kPa)
Hb 150 [115-165 g/L]
K 4.8 [3.5-5.2 mmol/L]
Na 144 [135-145 mmol]
Ca 1.1 [1.12-1.32 mmol/L]
Cl 105 [95-115 mmol/L]
HCO3 15 [23-29 mmol/L]
Base excess -10 [-2 - + 2 mmol/L]
Lactate 3.6 [<1.3 mmol/L]
What will you do on arrival in the Emergency Dept?
81.0%
Viva 7
You are the anaesthetist in the Anaesthetic Assessment Clinic.
The spinal surgeon has referred an 82-year old woman for an anaesthetic assessment. The proposed surgery is L4/5 spinal decompression and instrumented fusion for lumbar spinal stenosis.
The surgeon’s booking notes state:
hypertension
diabetes mellitus
myocardial infarction 10 years ago
Medications:
aspirin
metformin
quinapril
vildagliptin
This is today’s ECG:
image.png
What are your management priorities for this patient based on this ECG?
78.0%
Viva 8
You are the emergency anaesthetist working in a major hospital.
You receive a call alerting you to the arrival of a patient in ten minutes.
The ambulance service is bringing a 27-year-old male who has fallen from a height of 5-10m.
He is reported to have:
GCS 7
SBP 80 mm/hg
HR 125 bpm
Oxygen saturation 89% on Oxygen 6l/min
Pupils fixed at 4mm
En route the ambulance performed a right-sided needle thoracostomy.
The patient has IV access x2, a pelvic binder and cervical collar and has not been intubated.
Theatre will not be available for at least 45 minutes
Describe your initial assessment and management
85.0%
16
Viva 1
A 25-year-old woman has been brought into hospital by ambulance after being struck by a falling branch in a storm. You are advised that she is obviously pregnant and is in a confused state. You are asked to attend the emergency department as part of the trauma call team.
In addition to the routine assessment of airway, breathing and circulation, what are the important aspects of assessing this patient?
76.1%
Viva 2
You are the duty consultant anaesthetist at a tertiary hospital.
You are called to come immediately to the intensive care unit (ICU) to help other medical staff struggling with the airway management of a patient with a tracheostomy.
On arrival you see:
the ICU consultant attempting to insert a laryngeal mask airway (LMA)
an ear, nose and throat (ENT) surgical registrar attempting to replace the tracheostomy tube
oxygen saturation SpO2 86%
heart rate 122 beats per minute
blood pressure 195 / 115 mmHg
The ICU consultant tells you this is a 55-year-old man weighing 165kg who has community- acquired pneumonia. The patient had a surgical tracheostomy three days ago. The tracheostomy tube has now become dislodged while turning the patient.
What are your priorities?
79.3%
Viva 3
A 6-year-old child is scheduled for adenotonsillectomy in a regional hospital.
You are seeing him for the first time on the morning of surgery.
He is 35kg and on no medications.
What are the important factors in your decision to proceed with this operation in a regional centre with this child?
81.5%
Viva 4
You are asked to see an 84-year-old woman in the acute orthopaedic ward.
She was admitted earlier in the afternoon with a peri-prosthetic femoral fracture after a mechanical fall at home. She had a right total hip replacement five years ago for osteoarthritis. She is scheduled for revision total hip arthroplasty tomorrow morning.
She has a history of cardiac failure, type 2 diabetes, hypertension and atrial fibrillation.
Medications:
rivaroxaban 15 mg daily
atenolol 50 mg daily
metformin 500 mg twice daily
perindopril 5 mg daily
At your pre-operative consult she is distressed, in pain and difficult to engage.
How would you assess her capacity to make decisions?
81.5%
Viva 5
A 58-year-old man presents to the preadmission clinic prior to thoracic decompression and sural nerve biopsy to be done in the prone position.
His history includes progressive lower limb and truncal weakness.
Progression has occurred over the last four months and he is now wheelchair-bound.
Weight 152kg, body mass index 48 kg/ m2
His past medical history includes:
obstructive sleep apnoea - on continuous positive airway pressure (CPAP) therapy
hypertension
Current medications:
candesartan 8mg daily
enoxaparin 40mg subcutaneous injection daily
pregabalin 150mg bd
image.png
What are the key issues you will address during the pre-anaesthetic assessment?
88.0%
Viva 6
As the on-call anaesthetist in a general hospital you are asked by a midwife to place an epidural for a labouring patient in the delivery suite.
The patient is 42 years old, G6P0, and has had three in vitro fertilisation (IVF) attempts. She is 38 weeks’ pregnant and labour was induced because of reduced fetal movements.
When you go to assess the patient, the midwife shows you the following baseline cardiotocogram (CTG).
The obstetrician and your anaesthetic registrar are not immediately available because they are in theatre with another case.
Here is the CTG.
image.png
Please interpret it. What would you do?
85.9%
Viva 7
A 45-year-old female inpatient at your tertiary hospital was admitted with increasing shortness of breath. Her imaging and investigations confirmed a right sided empyema. Her surgeon indicated that it is complex and not amenable to percutaneous drainage so has booked her on your list for a right thoracotomy and decortication.
image.png
Past medical history:
systemic sclerosis (scleroderma)
interstitial lung disease (pulmonary fibrosis)
Raynaud’s phenomenon
gastroesophageal reflux
Current medications:
omeprazole 40mg mane
mycophenolate 1g bd
amlodipine 10mg mane
ceftriaxone 1g intravenously bd
metronidazole 500mg intravenously bd
How will you assess her cardiorespiratory function in preparation anaesthesia with one-lung ventilation?
81.5%
Viva 8
A 47-year-old man is on your list today for an open reduction and internal fixation of a right proximal humerus fracture. His injury was sustained in a motorbike accident three days ago.
Following his accident he was assessed in the emergency department and then discharged home.
Medications:
Metformin 1 g bd
Atorvastatin 40 mg daily
Perindopril 8 mg daily
Paracetamol 1 g q4h PRN (last three days)
Oxycodone 10 mg q4h PRN (last three days)

Weight 146 kg
Height 180 cm
Body mass index 45 kg/ m2

Heart rate 78 beats per minute
Blood pressure 148/86 mmHg
SpO2 96% on air
Respiratory rate 16 breaths per minute

On initial inspection he has a full beard, a graze on the right side of his face, and bruising on the right side of his chest and right hip. His right arm is in a collar and cuff sling.
What issues would you focus on assessing pre-operatively?
85.9%
Viva 9
You are the on-duty anaesthetist at a large regional hospital which provides general paediatric services.
A 5-year-old boy has been knocked off his scooter in the driveway by his mother’s four-wheel drive (4WD) car.
He is en route to the hospital by road ambulance, and the estimated time of arrival is in ten minutes.
You have been called to the emergency department to assist in his resuscitation.
What would you do in preparation before the child’s arrival?
81.4%
Viva 10
You have commenced your shift this morning as the in-charge consultant anaesthetist in a regional hospital where you are also responsible for the intensive care unit (ICU).
In the ICU, there is a 40-year-old man with isolated bilateral femoral fractures who was admitted 20 hours ago and has been booked for surgery later today.
He is otherwise well with no co-morbidities or other injuries.
You have been asked to review the patient as his pain is poorly controlled despite having been prescribed an intravenous morphine patient-controlled analgesia regimen.
Your nursing staff also tell you that the patient is becoming increasingly confused.
What are the possible reasons for this patient’s poor pain control?
72.1%
Viva 11
A 4-year-old girl presents on your ear, nose and throat (ENT) list at a small regional hospital for elective bilateral myringotomies and insertion of grommets.
She has a history of recurrent middle ear infections and has also been diagnosed with asthma and atopic dermatitis. She is allergic to peanuts.
On the preoperative-assessment questionnaire her mother has stated that the child currently has a runny nose and a cough.
The girl’s medications are:
fluticasone 100-200 mcg daily (via metered-dose inhaler plus spacer)
salbutamol 200-400 mcg PRN (via metered-dose inhaler plus spacer)
What further information do you want from the child’s mother?
79.1%
Viva 12
You have been asked to assess a 26-year-old woman with ulcerative colitis for an inpatient semi-urgent laparoscopic-assisted total proctocolectomy with ileoanal anastomosis.
Medications
mesalazine 2g orally bd
prednisolone 40mg orally daily
infliximab 300mg intravenously fortnightly

sodium 135 mmol/L (135-145 mmol/L)
potassium 4.0 mmol/L (3.5-5.2 mmol/L)
creatinine 75 µmol/L (<105 mmol/L)

haemoglobin 105 g/L (115-155 g/L)
MCV 71 fL (80-100 fL)
MCH 23 pg (27.5-33.2 pg)
white cell count 6.4 x103 /µL (3.5-9.8 x103 /µL)
platelets 400 x103 /µL (150-450 x103 /µL)
iron 8 µmol/L (5.0-30 µmol/L)
transferrin 3.2 g/L (2.0-3.2 g/L)
transferrin saturation 12% (10-45%)
ferritin 40 ng/mL (20-250 ng/mL)
CRP 150 mg/L (<5 mg/L)
albumin 30 g/L (38-52 g/L)
What are the key points to consider when deciding on the best timing for her surgery?
75.6%
Viva 13
You are at home and the junior night anaesthetic registrar rings you at 0200 to let you know about a case which has just been booked. There is an 18-year-old man with a right open eye injury which the ophthalmology team want to explore within the next six hours. Your registrar tells you he has just started an appendicectomy. He hasn’t done any eye cases before and would like to know what he should do.
The history from the ophthalmology registrar is that the patient had been out drinking, has allegedly been assaulted, fell to the ground and has a large facial swelling and an open eye injury and is alert. He has taken a photo. The patient is uncooperative but the registrar doesn’t think there are any other injuries and the patient is otherwise well.
Your registrar would like to do the case after the appendicectomy.
image.png
What will you say?
80.2%
Viva 14
A 22-year-old woman who is 32 weeks pregnant presents to the High Risk Obstetric Anaesthesia Clinic for assessment and delivery planning.
She has a history of
- illicit drug use and is currently using methamphetamine
- previous bacterial endocarditis
What are the specific issues you would explore further during the initial antenatal assessment?
84.9%
Viva 15
You are asked to review a 76-year-old man for planned thoracic endovascular aortic repair (TEVAR) on your list in seven days’ time. His aneurysm includes the origin of the left subclavian artery and extends distally to the renal arteries.
He has a background of hypertension, type 2 diabetes mellitus and a transient ischaemic attack (TIA).
He has a body mass index of 32 kg/ m2 and has a 24 pack-year history of smoking, having ceased smoking when he suffered the TIA four months ago.
His medications include
clopidogrel 75mg daily
rosuvastatin 10mg daily
perindopril 4mg mane
metoprolol 25mg bd
metformin 1000mg bd
How will you assess this man’s risk of spinal cord injury during this procedure?
67.4%
Viva 16
You are called to assess a 40-year-old woman in the surgical ward while working as the evening on-call anaesthetist.
The patient has had an anterior cervical discectomy and fusion (ACDF) for cervical radicular symptoms caused by C5/6 disc prolapse. The operation was completed six hours ago with 500mL of blood loss.
You have been asked to review the patient because of increasing neck pain.
Medications:
paracetamol 1g orally q6h
ibuprofen 400 mg orally q8h
pregabalin 75 mg orally q12hh
oxycodone-with-naloxone controlled-release 20/10 mg orally q12h
oxycodone 5 to10mg orally q4h
How would you assess this patient with increasing neck pain?
86.0%
16
Viva 1
You are seeing a 50-year-old man in the pre-anaesthetic clinic.
He is scheduled for robotic-assisted laparoscopic radical prostatectomy in one week’s time.
He has type 2 diabetes mellitus and hypertension, and he smokes 10–15 cigarettes a day.
Current medications include:
Metformin
Empagliflozin
Ramipril
How would you prepare this patient for surgery?
58.6%
Viva 2
A six-year-old boy with cerebral palsy is on your morning eye list at a paediatric referral hospital. He is listed for strabismus surgery.
You are reviewing his case notes when the admissions nurse comes over to tell you his mother has requested that her son receives a different premed before surgery today.
You find previous anaesthetic charts relating to a series of upper and lower limb Botox injections. On the most recent it is documented that oral midazolam 8 mg was administered as premedication.
It is also noted that the child was very anxious on arrival in theatre and became distressed and uncooperative during his inhalational induction.
His weight is 16 kg.
Current medication:
Omeprazole 20 mg daily
Baclofen 20 mg bd
Clonazepam 1.5 mg bd
Carbamazepine 100 mg qid
Diazepam 2.5 mg prn
How will you approach your anaesthetic assessment of this boy?
72.9%
Viva 3
A 58-year-old male presents to the pre-anaesthetic clinic prior to a functional endoscopic sinus surgery (FESS) procedure.
His past medical history includes:
Obstructive sleep apnoea
Poorly controlled gastro-oesophageal reflux
Ischaemic heart disease with coronary stenting ten years ago
Ex-smoker (ceased ten years ago)
Weight 145 kg, body mass index 45 kg/m2
Current medications:
Metoprolol
Ramipril
Aspirin
Ranitidine prn
Please describe key areas of concern in your pre-anaesthetic management plan.
76.8%
Viva 4
You are the anaesthetist for a gynaecology list at a major metropolitan hospital. You are reviewing the next patient on the list in the anaesthetic room. She is a 36-year-old woman for removal of an intrauterine device (IUD) +/- laparoscopy.
The surgeon’s booking notes state:
Removal of hormone-releasing IUD (Mirena) –possible extrauterine migration requiring laparoscopy
Tetraplegia (15 years)
Obese
Current medications:
Amitriptyline
Baclofen
Cranberry capsules
What additional specific information do you require in order to formulate your anaesthetic plan?
64.3%
Viva 5
A 34-year-old patient presents at your pre-admission clinic. She is booked on your list for a diagnostic laparoscopy for infertility. She has a BMI of 45kg/m2 and a past history of severe asthma. A respiratory physician is managing her for her asthma. The patient says that her asthma has improved and a letter from the physician states that her current FEV1 ranges from 50-64% of predicted and this has improved from 40-50% of predicted in the preceding 3 months.
Her current medications include:
Symbicort
Ventolin
Discuss the key issues in your pre-op assessment of this patient.
51.4%
Viva 6
Your first patient on the next day’s neurosurgical list is a 55-year-old female inpatient for excision of a meningioma. Prior to her admission with this problem she had been fit and well.
She is to undergo a stereotactically-guided retrosigmoid craniotomy.
image.png
Current medications:
Levetiracetam 500 mg PO bd
Dexamethasone 4 mg IV tds
Ondansetron 4 mg IV tds
Please describe the main focus of your preoperative assessment in this case.
64.3%
Viva 7
A 56-year-old man presents to the emergency department after a motor vehicle accident involving a fatality in the other vehicle. You have been asked to escort this patient for a computed tomography scan.
He complains of bilateral upper limb paraesthesia.
His past medical history includes mechanical aortic valve replacement.
Medications include:
Warfarin 3 mg daily
He appears oriented with a blood pressure of 90/40 mmHg and a heart rate of 50 /minute.
What are your concerns?
71.4%
Viva 8
A 52-year-old woman with end-stage kidney disease (ESKD) presents to your pre-admission clinic prior to an iliac artery aneurysm repair. The procedure is being performed to enable a live-donor kidney transplant to be undertaken in three months’ time.
The ESKD is secondary to long-standing type 2 diabetes. In addition the patient has an autonomic neuropathy secondary to diabetes and hypertension.
Medications:
Candesartan 16 mg daily
Dapagliflozin 10 mg daily
Long-acting insulin 16U nocte
Gabapentin 200 mg bd
Relevant investigations: haemoglobin 90 g/l; creatinine 585 µmol/l.
The patient describes a history of anaphylaxis during a prior anaesthetic. She has been to an allergy clinic and had skin testing. The patient has a letter stating she is allergic to oxycodone.
The patient is concerned about having another anaphylactic reaction during the upcoming procedure and whether this would impact upon her ability to have a kidney transplant.
What would you tell the patient?
71.4%
Viva 9
You are asked to help with the management of a 28-year-old male intravenous drug user, who is on methadone 200 mg daily, and has presented to the emergency department in severe pain with a wound to his neck sustained in a knife fight.
On entering the emergency department you can hear the patient shouting at the nurse that he needs more fentanyl.
The emergency department registrar has given 200 micrograms of fentanyl and is worried about giving more.
How do you approach this situation?
58.1%
Viva 10
You have been called to the emergency department to assess a 12-year-old boy who has been booked for an urgent scrotal exploration for suspected testicular torsion.
On arrival you notice the child has Down syndrome, is obese and has a cough. His mother tells you that shortly after having his breakfast he suddenly started crying inconsolably, placing his hands over his genital area. She also tells you she is quite worried about him having surgery as a cold has exacerbated his asthma.
You see the following information on his chart:
Height: 140 cm
Estimated body weight: 63 kg
Medications:
Budesonide 200 µg daily
Salmeterol 50 µg bd
How will you assess this situation?
71.0%
Viva 11
An 80-year-old man sustained right-sided rib fractures after a fall and was admitted to the surgical ward of your regional hospital last night. His only other injury is a fractured right clavicle. You are asked to review his pain management.
His past medical history includes:
Hypertension
Dyslipidaemia
Chronic obstructive pulmonary disease
Chronic moderate renal impairment
Type 2 diabetes mellitus
Prostate cancer
Regular medications:
Atorvastatin 40 mg daily
Budesonide-formoterol (50 µg/3 µg) inhaler bd
Irbesartan 75 mg daily
Metformin 500 mg daily
Salbutamol inhaler prn
Despite his medical issues, he is still active, and cares for his wife in their home.
Currently, his pain management is tramadol by intravenous infusion at 20 mg per hour, and oral paracetamol 1 g qid.
You attend to assess him and notice that he is disorientated and confused, although cooperative.
Why may he have become confused?
75.8%
Viva 12
A 40-year-old obese woman (body mass index 32 kg/m2, 95 kg) with myasthenia gravis is listed for a laparoscopic total hysterectomy and bilateral salpingectomy.
Medications:
Pyridostigmine 240 mg tds
Prednisolone 25 mg daily
Buprenorphine patch 10 µg/hour
Oxycodone 5–10 mg prn
Tramadol IR prn
Oral contraceptive pill
Allergies:
Sugammadex
How will you assess the severity of her myasthenia gravis in order to formulate a perioperative plan?
58.1%
Viva 13
You are in the pre-admission clinic reviewing a 48-year-old woman booked for laparoscopic total hysterectomy (excision of fibroids) on your list tomorrow.
Her past medical history is of type 1 diabetes mellitus, for which she is on insulin administered via a subcutaneous pump.
image.png
Her electrocardiogram is below. What does it show and what will you do?
66.1%
Viva 14
At the beginning of your day shift, a 54-year-old woman presents to the emergency department of your large tertiary referral hospital with an initial Glasgow Coma Scale (GCS) score of 12 (E3, M5, V4).
A computed tomography scan demonstrates a subarachnoid haemorrhage.
You have been asked to review the patient in preparation for planned coiling of her ruptured aneurysm in the interventional radiology suite.
When you arrive in the emergency department her GCS is now 9. Her blood pressure is 280/160 mmHg.
What will you do when you arrive in the emergency department?
66.1%
Viva 15
A 48-year-old man was admitted to a burn centre 24 hours ago with self-inflicted flame burns to 65% of his body, particularly affecting the upper body including the head and neck region.
Initial fibreoptic bronchoscopic examination revealed severe inhalational injury. He is currently intubated in the intensive care unit on an FiO2 of 0.4, and is on haemofiltration to treat hyperkalaemia.
His current blood results are as shown below:
Na+ 143 mmol/l 135–145 mmol/l
K+ 5.3 mmol/l 3.5–5.5 mmol/l
Urea 25.2 mmol/l 3.5–9.5 mmol/l
Creatinine 285 µmol/l 60–115 µmol/l
White cell count 18.4 x 109 /l 4.0–11.0 x 109/l
Haemoglobin 180 g/l 128–173 g/l
Platelets 480 x 109/l 150–400 x 109/l
Prothrombin time 21 s 10–14 s
International Normalized Ratio 1.6
Activated partial thromboplastin time 38 s 24–34 s
pH 7.38 7.36–7.44
PaCO2 42 mmHg 35–45 mmHg 5.6 kPa 4.7–6.0 kPa
PaO2 140 mmHg 80–100 mmHg 18.6 kPa 10.6–13.3 kPa
Base excess -3.0 mmol/l -2 to +2 mmol/l
HCO3⁻ 24 mmol/l 22–26 mmol/l
The surgeon would like to perform debridement of burns on the emergency list within the next two hours.
What are the main areas of concern?
69.4%
Viva 16
You are asked to review a 35-year-old woman who presents for revision of a left forearm arteriovenous fistula. Her comorbidities include end-stage renal failure due to nephrotic syndrome, for which she requires haemodialysis; morbid obesity; and known pulmonary hypertension.
Current medications:
Prednisolone 15 mg daily
Cyclosporine 150 mg bd
Amlodipine 5 mg daily
Aspirin 150 mg daily
image.png
How will you assess the severity of her pulmonary hypertension?
66.1%
16
Viva 1
You are the consultant on call at a tertiary referral hospital on a Sunday afternoon.
You receive a call from the intensive care unit registrar asking for assistance in managing the airway of one of their patients.
The patient is a 20-year-old apprentice chef who suffered facial and neck burns this morning after a deep fryer caught fire at work. She was intubated on admission, and this afternoon the pilot tube on her endotracheal tube was cut whilst dressings were being changed.
What is your initial response?
78.2%
Viva 2
You are the anaesthetist covering the emergency list on a weekend in a tertiary hospital.
You meet your next patient in the holding bay. He is a 70-year-old man booked for a laparoscopic cholecystectomy for a suspected gangrenous gall bladder.
His past medical history includes hypertension and he is known to have aortic stenosis.
He has been in bed for a week with worsening right upper quadrant pain, nausea, fever, and lethargy. He is diaphoretic and looks unwell.
His current observations are:
SpO2 of 93% on two litres per minute of oxygen via nasal prongs
Respiratory rate 20 /minute
Blood pressure 95/40 mmHg
Heart rate 105 /minute
There is an echocardiography report dated February 2016:
Aortic stenosis, aortic valve area 0.91 cm2, mean gradient 39 mmHg, peak velocity 3.67 m/s, left ventricular size normal, mild concentric hypertrophy with diastolic dysfunction but normal left ventricular systolic function, ejection fraction 60%.
Medication:
Quinapril 20 mg bd
How will you proceed?
78.2%
Viva 3
You are the duty anaesthetist on for the emergency list at a tertiary referral hospital.
A four-year-old boy has arrived by ambulance to the emergency department with a displaced supracondylar fracture of the right humerus. He is scheduled to come to theatre for open reduction and internal fixation of his humerus immediately due to neurovascular concerns.
You have been informed that there is a family history of malignant hyperthermia.
What specific information in the history and examination will you seek to determine your anaesthetic plan?
73.6%
Viva 4
You see a 45-year-old man who is on your operating list for a four-level lumbar laminectomy and fusion next week.
His medical history includes:
Body mass index 42 kg/m2
Obstructive sleep apnoea
Type 2 diabetes mellitus
Hypertension
Medications:
Metformin 1 g bd
Pregabalin 75 mg bd
Oxycodone (slow release) 20 mg bd
Oxycodone (immediate release) 5–10 mg prn
Blood results from one week ago:
Full blood count, electrolytes, urea and creatinine, coagulation studies – normal
Blood glucose level 14 mmol/l (fasting reference range 4–7 mmol/l)
Preoperative observations:
Blood pressure 160/95 mmHg
Heart rate 70 /minute
SpO2 97% on room air
Describe your plan for perioperative analgesia in this patient.
80.9%
Viva 5
You are the emergency anaesthetist working in a tertiary hospital.
You are called by a nurse on behalf of the respiratory physician working in the bronchoscopy suite.
There is a 48-year-old woman who is having a bronchoscopy as investigation for possible lung cancer.
The respiratory physician has started the procedure but the patient has deteriorated acutely and her oxygen saturation is 80% and they are requesting your urgent assistance.
Describe how you will immediately assess this situation on arrival in the bronchoscopy suite?
77.3%
Viva 6
You’re at home in the evening and a junior registrar at your tertiary referral hospital calls you to inform you about a patient in the delivery suite.
They have been informed by the obstetric registrar that a 34-year-old G3P2 woman at 39 weeks gestation is in early labour, and a spontaneous vaginal delivery is planned. Her pre-pregnancy body mass index was 35.3 kg/m2 (170 cm, 102 kg).
She is otherwise well and a practising Jehovah’s Witness.
How does her obesity influence your management of her care?
82.7%
Viva 7
You are the duty anaesthetist and you are called to the endoscopy suite located two floors above the main operating suite in your hospital.
You are requested to assist a proceduralist and two nurses with a patient who is becoming restless and uncooperative during a gastroscopy. The patient is 36 years of age and has ankylosing spondylitis. You are told the patient had a small recent upper gastrointestinal bleed that settled spontaneously.
Current observations are blood pressure 88/51 mmHg, and SpO2 92% on three litres per minute of oxygen via nasal prongs. Venous access is a 22G cannula in the anterior cubital fossa and the patient is moving his arms about.
Please outline your assessment and initial management.
83.6%
Viva 8
You are called by the emergency department consultant in your tertiary hospital to see a 75-year-old man who has just returned from the radiology department.
He was the driver in a single-vehicle accident. He was wearing a seatbelt and the airbags deployed. No one else was injured. The primary and secondary surveys reveal no cervical spine, pelvic or abdominal injuries. He reports chest pain and difficulty breathing.
His observations are:
SpO2 93% on non-rebreather bag
Respiratory rate 32 /minute
Heart rate 115 /minute
Blood pressure 110/60 mmHg
Glasgow Coma Scale score 14
This is his chest X-ray.
How will you assess and manage this patient’s respiratory function?
74.5%
Viva 9
The next patient on your emergency list is a 55-year-old Japanese tourist. He has a large fishhook deeply embedded in his eye following a game-fishing accident that occurred four hours earlier.
The ophthalmologist has listed him for exploration of the globe +/- vitrectomy and repair and wishes to take him to surgery as soon as possible.
The patient does not speak English.
Additional information is available from the emergency department record.
Past medical history:
Hypertension
Chronic obstructive pulmonary disease
Smoker
Obese
Obstructive sleep apnoea
Hereditary angioedema
Medications:
Amlodipine
Salmeterol inhaler
Omeprazole
He has no known drug allergies.
What additional specific information do you require before proceeding to theatre?
73.7%
Viva 10
You are seeing a 40-year-old woman in the pre-anaesthesia assessment clinic for semi-urgent thyroidectomy. She presents with failed medical management of thyrotoxicosis.
Current medications:
Carbimazole 15 mg tds
Metoprolol 100 mg bd
Prednisone 10 mg mane
Temazepam 10 mg nocte
How will you assess this patient?
86.9%
Viva 11
You are the on-call anaesthetist at a major regional hospital. You are asked to attend a two-year-old child in the emergency department (ED) who has a grossly distended abdomen and whom the surgical Fellow wants to bring to theatre for an urgent laparotomy.
On arrival in ED, you find the child in a cubicle with his mother.
He is slightly mottled in appearance, lethargic and difficult to engage, and appears to have increased work of breathing.
The mother gives a history of 24 hours of vomiting with several nappies of loose bowel motions.
The child has had a 22G cannula inserted by the ED registrar who has since been called away. No fluids are running.
His observations are:
Temperature 37.5℃
Blood pressure 85/50 mmHg
Heart rate 140 /minute
Respiratory rate 34 /minute
SpO2 94% on room air
What is your assessment of this patient’s clinical condition?
80.8%
Viva 12
It is Saturday morning in a private hospital. You are reviewing a 50-year-old male patient who had an open anterior resection yesterday, on behalf of a colleague.
He has an epidural in situ and on examination you find he has right leg weakness.
His past history includes an automated implantable cardioverter-defibrillator for an out-of-hospital cardiac arrest.
A recent echocardiogram shows normal ventricular systolic and diastolic function, and normal valvular function.
What are the possible causes of his leg weakness?
70.7%
Viva 13
You are a consultant working at a tertiary referral hospital.
A 70-year-old man has been added to your elective thoracic list for the next day for an open minithoracotomy and wedge resection of a left-sided lung mass.
The patient has a 50 pack-year smoking history.
He has a background of chronic obstructive pulmonary disease with no recent infective exacerbations. Three years ago he had a left mandibulectomy and radiotherapy for a squamous cell carcinoma of the floor of his mouth.
He weighs 65 kg and is 175 cm tall.
Current medications:
Tiotropium bromide – 2 puffs daily
Salbutamol inhaler prn
image.png
How will you assess his airway?
82.8%
Viva 14
You are asked to cover an elective obstetric list, at short notice, due to colleague illness, in a tertiary care centre.
Your first patient on the list is a morbidly obese primigravida (pictured) with twins at 36 weeks gestation. She expresses a strong desire to be awake for the delivery.
Her weight is 150 kg, height 170 cm, and body mass index 51.9 kg/m2
image.png
How would you assess this lady for a regional technique for her proposed elective lower uterine segment caesarean section?
78.8%
Viva 15
You are the anaesthetist in the pre-anaesthesia assessment clinic seeing a 78-year-old man for insertion of an automated implantable cardioverter-defibrillator (AICD) the following day.
His medications include:
Bisoprolol
Aspirin
Perindopril
Atorvastatin
Spironolactone
Thiamine
His clinic observations are:
Blood pressure 95/58 mmHg
Heart rate 72 /minute
SpO2 98% on room air
What features of his history indicate the severity of his cardiovascular disease?
75.8%
Viva 16
A 25-year-old pedestrian is hit by a car and presents to your large rural hospital which commonly manages major trauma. You attend the emergency department on his arrival.
His oxygen saturation is 96% on a non-rebreathing Hudson mask delivering 15 litres per minute of oxygen. Heart rate and blood pressure are recorded at 150 /minute and 90/60 mmHg respectively. His Glasgow Coma Scale score is 15. He weighs 70 kg.
His abdomen is painful and distended. Both his thighs are swollen and both legs are in splints. There are no other injuries on primary survey.
How would you assess his degree of shock? How much blood do you estimate he has lost?
87.9%
16
Viva 1
1. There has been a brawl at a nearby prison. One of the inmates is transferred to your hospital for treatment. He is a 24-year-old man with a mandibular fracture, and a background history of hepatitis C, smoking and intravenous drug use. You are seeing him in the waiting area immediately before surgery.
What features on examination of this patient would suggest a difficult airway?
Viva 2
A 76-year-old man is admitted the night before elective coronary artery bypass grafts and aortic valve replacement for aortic stenosis. As you arrive for your preoperative visit the nurse tells you the patient was well on admission but is now complaining of shortness of breath, and she is about to perform an electrocardiogram.
Describe your management of the situation.
Viva 3
You are in the pre-admission clinic assessing a 72-year-old woman who is booked for bilateral knee replacement on your list in three weeks’ time. She weighs 55 kg and is well, apart from being treated with telmisartan for mild hypertension. She has no history of ischaemic heart disease, heart failure or cerebrovascular disease.
Results:
image.png
How will you estimate her perioperative cardiac risk for this surgery?
Viva 4
You are the helicopter retrieval consultant, tasked to retrieve a 30-year-old woman with decreased level of consciousness from a regional hospital. You are informed that it is suspected that the patient has overdosed. When you arrive, the patient is in the resuscitation area of the ED.
Her observations are:
SpO2 98%
RR 20
HR 110
BP 80/50
T 38°C
GCS 11 (E3, V3, M5)
Describe your initial assessment and management of this patient.
Viva 5
A 49-year-old woman presents in the evening with presumed ischaemic bowel for laparotomy. An arterial blood gas (ABG) has recently been performed in the emergency department.
Medical history:
Ehlers-Danlos syndrome
Chronic pain
Medications:
Pregabalin SR 150 mg bd
Paracetamol 660 mg tds
Oxycodone/Naloxone 10/5 mg bd
Oxycodone 5 mg prn
Meloxicam 15 mg daily
Pantoprazole 40 mg daily
image.png
What are the likely differential diagnoses for this patient’s abnormal ABG?
Viva 6
You are the on-call anaesthetist at a regional hospital and are contacted by the urological surgeon who would like to book a 30-year-old G1P0 woman at 34 weeks gestation with renal colic for ureteric stent placement ± laser distal ureteric stone.
What other information would you like from the surgeon whilst you are considering this case?
Viva 7
You are the onsite anaesthetist at a tertiary paediatric hospital on a Saturday morning. You are contacted by the surgeon to inform you she has booked a 14-year-old girl with cystic fibrosis on the emergency list for surgery later today for a laparoscopic appendicectomy.
Her vital signs are:
Weight 45 kg
Temperature 38.5°C
Respiratory rate 20 /minute
Heart rate 120 /minute
Blood pressure 90/50 mmHg
Oxygen saturation 91% (room air)
Her medications are:
Azithromycin
Dornase nebuliser
Budesonide/formoterol puffer
What are your priorities in her preoperative assessment?
Viva 8
You are the anaesthetist on the trauma team at a tertiary referral hospital. The following pre-hospital information has been received from the rescue helicopter:
image.png
What are the immediate priorities of the trauma team upon receiving the patient?
Viva 9
You are the emergency anaesthetist and a 70-year-old woman with rheumatoid arthritis and limited neck movement is booked for washout of a left total knee replacement (TKR).
She had her total knee joint replacement two weeks ago under spinal anaesthesia where intrathecal access was noted to be difficult. Postoperative mobilisation has been slow, and she has developed a painful calf with a left deep vein thrombosis identified on ultrasound with no respiratory symptoms.
She remains an inpatient and is noted to have some confusion at present. She has been anticoagulated on warfarin with an International Normalised Ratio of 2.5. She wishes to have a general anaesthetic and prefers not to have a spinal for the washout procedure.
Outline your preoperative concerns in this patient?
Viva 10
You are in the anaesthetic pre-admission clinic. Your next patient is an eighty-year-old Italian man with a history of recurrent transient ischaemic attacks, presenting for awake carotid endarterectomy.
His medications are listed as follows.
Atorvastatin 40 mg daily
Amlodipine 5 mg daily
Metformin 500 mg TDS
Aspirin 100 mg daily
Dipyridamole 150 mg daily
How would you assess this man prior to his anaesthetic?
Viva 11
You are the anaesthetist on an orthopaedic list in a private hospital and the first patient on your list is a 40-year-old woman, booked to undergo a right arthroscopic acromioplasty and rotator cuff repair. The surgeon does this in the high beach chair position (at 80 degrees) and requires an interscalene catheter with a local anaesthetic infuser in situ to facilitate same-day discharge home.
On seeing her in the pre-admission clinic, you note that her only medication is the oral contraceptive pill, and that she is a current smoker with a 10 pack-year history, with no significant past medical history apart from occasional gastro-oesophageal reflux.
Her admission vital signs are:
Heart rate 80 /minute
Blood pressure 135/70 mmHg (mean arterial pressure 100 mmHg),
Temperature 36.2°C
Respiratory rate 16 /minute
Weight 110kg, height 170cm, BMI 38
What information will you give the patient about the interscalene block and local anaesthetic infuser, to facilitate informed consent?
Viva 12
You are an anaesthetist in a regional hospital and your duties include covering their (small) high dependency unit. The emergency department calls you to assist with an unwell 60-year-old man who has presented with severe abdominal pain and some respiratory distress. He has been vomiting.
He is well known to the ED on account of frequent presentations with alcohol-related problems.
His blood results are:
image.png
Medications:
Metformin
Perindopril
Spironolactone
What do you think might be going on and what will you do on arrival in the emergency department?
Viva 13
A 68-year-old woman is undergoing a Whipple’s procedure for an early pancreatic cancer. You are administering a volatile anaesthetic, with an epidural, arterial line and central venous line. She has been stable during the surgery.
She has a past history of anxiety and depression but is otherwise well. The surgeons are now about an hour away from finishing. Your monitor alarms and you look at your screen.
image.png
What is your initial management?
Viva 14
You are working in a major regional centre in Far North Australia. A 16-year-old indigenous girl presents 36 weeks pregnant in early labour. This is her first known pregnancy.
She is unknown to the hospital and has had no known antenatal care. You are called by the midwife on labour ward to assist with analgesia. She mentions the patient has a cough and is mildly short of breath. Her current blood pressure is 90/60 mmHg and there is no proteinuria. She has oxygen saturation of 93% on room air.
Her electrocardiogram is below.
Outline your pre-anaesthetic assessment of this patient.
Viva 15
You are the anaesthetist in the pre-admission clinic of a paediatric hospital. The next patient is a 4-year-old boy with Down syndrome booked for bilateral congenital talipes equinovarus repair with osteotomy. He weighs 25 kg.
Outline your assessment of this child.
Viva 16
A 27-year-old man is dropped off by an unknown person at the emergency department of a major trauma centre. He is pale and diaphoretic and collapses in the doorway, so he is carried into the resuscitation bay. You are nearby and rush to assist as part of a trauma team.
You see he has a gunshot entry wound in his left back (mid-chest level) and an exit wound in his abdomen (left upper quadrant).
He loses consciousness in front of you. His heart rate is 140 /minute. You are unable to record a blood pressure or feel a peripheral pulse, but he has a weak carotid pulse.
How will you assist with this patient’s management?
16
Viva 1
You are the Consultant Anaesthetist on duty for a regional hospital and receive a call from the General Surgeon at 10pm. She has a 16-year-old male with appendicitis who needs a laparoscopic appendicectomy as soon as possible.
The patient has no past medical history but has had abdominal pain and been unwell for the past 3 days.
Observations:
Weight 60kg
BP 110/80
HR 110
Temp 37.3
SpO2 98% on air
RR 25
image.png
How will you decide when the patient is ready?
69.0%
Viva 2
You are today’s Team Leader of the hospital MET Team. You have been called to assess a 33-year-old woman in the surgical ward, who had a mandibular molar abscess drained 36 hours ago.
She is 160 kg and 170 cm tall. She is confused and refusing any oxygen therapy. Pulse oximetry erratically reads 84% and a heart rate of 110 bpm.
How will you respond to this situation?
68.0%
Viva 3
You are the consultant working in the preadmission clinic of a large tertiary hospital. Your next patient is a 72-year-old man with recently diagnosed transitional cell carcinoma of the bladder. He is scheduled for a radical cystectomy and ileal conduit.
His past medical history includes:
COPD
Paroxysmal atrial fibrillation
Current smoker
Hypertension
Type 2 Diabetes Mellitus
His medications are:
Inhaled salmeterol (Serevent), tiotropium (Spiriva) and salbutamol (Ventolin) PRN
Dabigatran 110mg bd
Digoxin 125mcg mane
Perindopril 4mg mane
Metformin 500mg bd
How will you assess this man’s respiratory function?
Viva 4
A 54-year-old man is scheduled for orthognathic surgery comprising of the following procedures for his obstructive sleep apnoea:
Le Fort I maxillary osteotomy
Bilateral sagittal split mandibular osteotomies
Genioplasty
His medical history included hypertension and a myocardial infarction 12 mths ago for which he was managed with a bifurcation drug eluting stent. He has continued to smoke. His medications include:
Aspirin and clopidogrel
Irbesartan
Amlodipine
Ezetimibe/simvastatin
What concerns do you have for this man undergoing his planned procedure?
85.0%
Viva 5
You are wheeling your last patient into the Recovery Room of a private hospital late in the day.
You notice a colleague having difficulty with a child’s airway. The child’s oxygen saturation is 65% (and falling) and his heart rate is 60.
What will you do?
72.0%
Viva 6
You are the duty anaesthetist in a tertiary hospital and are asked to help a registrar manage a patient during elective LUSCS who has had a combined spinal/epidural and is bleeding after delivery of the baby.
The patient is 30-year-old primigravida, who had a breech presentation and has delivered a 4.2 kg baby. The patient’s weight is 70 kg.
What relevant information do you need from the registrar?
85.0%
Viva 7
You are in the pre-admission clinic with a 55-year-old woman who is scheduled to have a transsphenoidal hypophysectomy.
She has features of acromegaly, but apart from hypertension and anxiety, she is otherwise fit and well.
BP 160/90 Weight 70 kg
Medications:
Enalapril
Fluoxetine
What specific preoperative assessment is required for this patient?
75.0%
Viva 8
You are the Duty Anaesthetist onsite at a tertiary hospital which facilitates interventional cardiology and cardiothoracic surgery. You receive a phone call from the Interventional Cardiology Suite this evening, requesting immediate assistance for complications during percutaneous coronary intervention (PCI).
A 65-year-old man has presented with acute chest pain and is now undergoing angioplasty and stenting of the left anterior descending (LAD) coronary artery. He had been stable in the ambulance.
He smokes 15 cigarettes a day, has a BMI of 35, hypertension and type 2 diabetes mellitus.
Usual medications:
Quinapril
Atorvastatin
Metformin
What are you considering as you make your way immediately to the Interventional Cardiology Suite?
83.0%
Viva 9
You’re the consultant covering the intensive care unit at a regional country hospital. You receive a call from an emergency consultant requesting you review a 17-year-old girl who has been brought in by ambulance with ‘an acute exacerbation of asthma’, for potential admission to intensive care.
You attend with your registrar.
What are the important examination findings?
87.0%
Viva 10
A 120kg, 25-year-old rugby prop has suffered an injury during a game. He has arrived in the emergency department with signs of an incomplete C4 quadriplegia. The emergency department staff ask for your assistance in transferring the patient to the computed tomography (CT) scanner.
When you arrive in the emergency department, he is on a rigid spine board with a hard cervical collar in place and his head taped to the board. He has a Glasgow Coma Score of 15. He is breathing room air. Your emergency colleague tells you he has some movement of his right arm but none in his other three limbs.
A lateral cervical X-ray has been obtained and CT are waiting to scan his cervical spine.
Is there anything you would like to do before transporting the patient to the scanner?
59.0%
Viva 11
It is 1900 hours on a Monday evening, and you are the on-call anaesthetist at a small regional hospital. You are called by a locum orthopaedic surgeon to review a frail 75-year-old female who has been transferred from a nursing home with a suspected fractured neck of femur. Her son and daughter have just arrived.
The ambulance and nursing home notes state: “Unwitnessed fall several hours ago, shortened externally rotated left leg with severe left hip pain”.
Her medical history includes:
Mild dementia
Chronic kidney disease (stage 3B)
Hypertension
Her medications are:
Aspirin 100 mg daily
Hydrochlorothiazide 25mg daily
Atenolol 50mg daily
Rivastigmine 6mg BD
Omeprazole 40 mg BD
How will you assess this patient?
73.0%
Viva 12
A previously well 45-year-old woman presents for pre-op assessment to your anaesthetic clinic, for an urgent total thyroidectomy booked for the following day on your list.
She gives a 6-month history of unintentional weight loss of 18 kg, tremors and anxiety. She was diagnosed with Graves’ disease 3 months ago. Carbimazole was started but was discontinued after 2 months, secondary to bone marrow suppression. She refused to have Radioiodine 131I treatment due to concerns about radiation.
She now complains of palpitations and finds it increasingly difficult to get out of bed due to weakness.
Her pulse is fast and irregular, BP is 140/94 mmHg and SpO2 is 98% on air.
Her current medications are:
Metoprolol 12.5 mg BD
Prednisolone 20 mg daily
Cholestyramine 4 g TDS
With respect to assessment, what are your priorities specific to this patient?
81.0%
Viva 13
You are asked to see an 8-year-old boy who is, booked for open fixation of a fractured femur on the emergency list.
You are in the Emergency Department about to take a history from his mother when he becomes unresponsive.
What do you do now?
87.0%
Viva 14
It is the weekend, and you are the duty anaesthetist providing supervision from the operating theatres for an anaesthetic registrar in the birthing suite. The registrar telephones you for advice.
The registrar informs you that about 25 minutes earlier they inserted an epidural in a 27-year-old woman, who has no medical problems and takes no regular medication The patient is G1P0, and in established labour at 34 weeks gestation. She had premature rupture of her membranes six days ago and has received steroids and magnesium sulphate.
Epidural insertion was difficult and now the analgesia is inadequate.
What specific information do you need to know before providing advice to the registrar?
77.0%
Viva 15
A 59-year-old male is presenting for elective resection of a melanoma metastasis to the brain in the Preoperative Clinic.
His medical history is significant for Hypertension, Dyslipidaemia and Ischaemic Heart Disease.
His medications include:
Ramipril 5mg mane
Rosuvastatin 5mg nocte
Aspirin 100mg daily
Metoprolol 25mg BD
Dexamethasone 4mg mane
Levetiracetam 500mg BD
Please describe your assessment of this patient.
92.0%
Viva 16
The first patient on your emergency list is a 60- year-old man for palliative video-assisted thoracoscopic surgery using three ports.
He has a history of mesothelioma and hypertension, is 174 cm tall and weighs 62 kg.
His current medications are:
Irbesartan 300 mg daily
Metoprolol 50 mg BD
Paracetamol 1 g QID
Oxycodone (slow release) 40 mg BD
Pregabalin 150 mg BD
Escitalopram 20 mg daily
Please comment on this man’s chest X-ray.
88.0%
16
Viva 1

Viva 2

Viva 3

Viva 4

Viva 5

Viva 6

Viva 7

Viva 8

Viva 9

Viva 10

Viva 11

Viva 12

Viva 13

Viva 14

Viva 15

Viva 16

16
Viva 1

Viva 2

Viva 3

Viva 4

Viva 5

Viva 6

Viva 7

Viva 8

Viva 9

Viva 10

Viva 11

Viva 12

Viva 13

Viva 14

Viva 15

Viva 16

16
Viva 1

Viva 2

Viva 3

Viva 4

Viva 5

Viva 6

Viva 7

Viva 8

Viva 9

Viva 10

Viva 11

Viva 12

Viva 13

Viva 14

Viva 15

Viva 16

16
Viva 1

Viva 2

Viva 3

Viva 4

Viva 5

Viva 6

Viva 7

Viva 8

Viva 9

Viva 10

Viva 11

Viva 12

Viva 13

Viva 14

Viva 15

Viva 16

16
Viva 1
You are the duty anaesthetist in a teaching hospital.
The anaesthetist in the emergency theatre is a senior registrar. His next patient is an obese 56-year-old man for laparoscopic cholecystectomy, following a recent episode of pancreatitis.
As you pass the anaesthetic holding area the registrar is finishing his preoperative assessment of the patient.
You notice that the patient has a hoarse voice and appears somewhat short of breath.
How will you proceed?
75.0%
Viva 2
Your junior anaesthetic registrar calls you from the emergency department where he has just assessed a 20-year-old woman who requires an urgent laparoscopic appendicectomy.
He states that the patient says she was a blue baby and had several complex cardiac operations when she was a child.
Her current medications are:
aspirin 100 mg daily
enalapril 5 mg daily
digoxin 250 µg daily
frusemide 80 mg daily
She has no allergies.
Here are schematic representations of a normal cardiac circulation and the patient’s current Fontan circulation.
What further information would you like?
71.2%
Viva 3
Following a fall, a 78-year-old man needs a dynamic hip screw for an intertrochanteric fracture.
His past history includes:
Ischaemic heart disease
STEMI in 2014 followed by coronary stenting for double vessel disease
latest LVEF 23% with severe segmental left ventricular impairment and stage C heart failure
NYHA III
Peripheral vascular disease
open abdominal aortic aneurysm repair in 2010
right leg claudication
Hypertension
Poorly controlled gastro-oesophageal reflux
His current medications:
aspirin 100 mg mane
quinapril 20 mg mane
frusemide 40 mg bd
metoprolol 25 mg bd
spironolactone 25 mg bd
omeprazole 20 mg mane
His recent blood tests show: (reference range)
Haemoglobin 110 g/l (130–170)
Platelets 95 x109 /l (150–450)
Albumin 29 g/l (35–55)
What are the important preoperative issues in this patient?
63.7%
Viva 4
You are the on-call consultant anaesthetist and currently at home.
At 7 pm you receive a call from your first year trainee anaesthetic registrar who is attending a referral in the emergency department.
The patient is a 36-year-old G3P2 pregnant woman, with vaginal bleeding at 33 weeks gestation.
Her previous deliveries were by elective caesarean section.
An ultrasound scan at 28 weeks apparently showed a low lying placenta, but she has not had further follow-up.
What further information do you need and how will you advise the registrar?
86.2%
Viva 5
You are the on-call consultant anaesthetist at a large regional hospital.
The anaesthetic registrar rings to inform you of a 24-year-old man booked for knee washout for septic arthritis.
The patient has been unwell for one week with fever, rigors and chills. His left knee has been painful and swollen for three days.
He initially presented to a peripheral hospital 12 hours earlier. After cultures were taken and antibiotics commenced he was transferred for further orthopaedic assessment and management.
His only relevant past history is recreational intravenous drug abuse.
The patient has arrived in the anaesthetic bay and looks unwell.
His vital signs are:
Heart rate 115 /minute
Blood pressure 80/40 mmHg
SpO2 90% (on room air)
Temperature 38.6 C
How will you respond to the registrar’s phone call?
73.8%
Viva 6
You are on the pain round with the acute pain nurse when you attend an emergency buzzer call on the ward.
An elderly patient has collapsed in the bathroom and is unconscious.
You are the most senior doctor in attendance.
How will you manage this situation?
71.2%
Viva 7
You receive a trauma call to the emergency department of the regional hospital where you are working.
The paramedics have brought in a 30-year-old male who fell from a quad bike while intoxicated. He was dragged some distance before the quad bike rolled onto his legs, pinning him.
On arrival in the emergency department, he is conscious, screaming and has mangling injuries to his lower limbs. Bilateral arterial tourniquets are in situ. He has tyre marks across his abdomen and an open abdominal wound contaminated with dirt and grass.
Outline your priorities in the initial management of this patient.
75.0%
Viva 8
You are the on-call consultant anaesthetist, working on-site at a large regional hospital with a paediatric surgical service.
The surgical registrar phones and asks you to review a four-year-old boy on the children’s ward who has an acute abdomen, for which his consultant would like to book urgent surgery.
The boy has no significant past medical, family or social history.
Describe your initial management.
77.5%
Viva 9
You are the duty anaesthetist at a regional centre, and are urgently called to the emergency department.
Following a drunken fight over dinner, a 38-year-old man has been stabbed in the neck with a kitchen knife, which is still deeply embedded.
He is being cooperative with the emergency department staff.
How will you respond?
73.3%
Viva 10
A 26-year-old man is booked for an urgent laparotomy by the general surgeons.
He was admitted to hospital five days earlier with an acute spinal injury and his surgeons are concerned that he has infarcted bowel.
What are your main concerns and what will you do to explore these concerns?
81.3%
Viva 11
A 46-year-old woman is attending the pre-admission clinic prior to a left total hip replacement for severe osteoarthritis.
She has longstanding schizophrenia with associated intellectual impairment and lives in supported accommodation.
She suffers from behavioural problems including screaming and hair pulling, and is requiring increasing analgesia and sedative medication.
She is 163 cm tall and weighs 125 kg, with body mass index of 47.
Her current medications:
oxycodone 5 mg qid
chlorpromazine 200 mg bd
haloperidol 5 mg bd
diazepam 5 mg qid
Her carer states that eight years earlier, whilst the patient was having her gallbladder out, there was “difficulty placing a breathing tube”.
What particular issues do you anticipate in this patient?
80.0%
Viva 12
You are the consultant covering labour ward at a regional hospital, where the anaesthetist is notified of all high-risk admissions.
You have been called to see Mrs Smith, a 36-year-old primigravida at 38 weeks gestation, who was admitted one hour earlier with severe pre-eclampsia.
Her blood pressure on arrival was 200/100 mmHg.
She was commenced on oral labetalol by her obstetrician, who was then called away to an emergency caesarean section.
When you enter her room with the midwife, you find Mrs Smith semiconscious on the floor, leaning against her bed.
What is your immediate management of this situation?
85.3%
Viva 13
You are called to the cardiac catheter lab to provide assistance with a 54-year-old man.
On arrival you find the patient is agitated and has severe central chest pain.
The cardiology professor wants you to “put the patient to sleep” immediately.
This is the patient’s 12 lead ECG.
What does this ECG show? How will you manage this situation?
78.7%
Viva 14
A 64-year-old woman is booked for frameless stereotactic craniotomy and debulking of a temporal lesion, to be done within 24 hours, following presentation with a generalised seizure.
Her past medical history includes longstanding bronchiectasis and recently diagnosed pulmonary hypertension.
Her current medications:
fluticasone/salmeterol inhaler bd
frusemide 40 mg daily
bosentan 125 mg bd
ciprofloxacin (just completed two week course)
dexamethasone 4 mg qid (for the past 24 hours)
phenytoin 300 mg daily (for the past 24 hours)
Her MRI scan is shown here.
How will you assess her fitness to undergo this procedure?
88.0%
Viva 15
You are the on-call consultant anaesthetist in a tertiary hospital.
You are called to the emergency department to assist in the management of a 52-year-old male pedestrian hit by a car.
Preliminary information from the ambulance service is as follows:
Four fractured limbs, pelvic binding, open leg fractures.
Cervical collar in situ.
Intubated for low Glasgow Coma Scale (GCS) score.
Past history of cirrhosis and portal hypertension.
What will you do before the patient arrives?
81.3%
Viva 16
You are called by the emergency department staff of a children’s hospital.
A six-year-old girl is being brought by ambulance following a fall from a horse.
She was not wearing a helmet.
In the ambulance, her eyes are shut, she is moaning and not responding to pain. Her pupils are reacting sluggishly to light, but they are equal and not dilated.
How will you prepare for her arrival in the emergency department?
74.7%
16
Viva 1
You are the on-call consultant anaesthetist on Sunday morning at a district general hospital. You receive a telephone call from the emergency department registrar, who says:
“We have a man down here with an injury to his face from an angle grinder. We’re worried about his airway. He’s bleeding profusely and we need you straight away.”
You are currently anaesthetising an ASA physical status 3 patient for laparotomy, with a first year trainee anaesthetic registrar.
What will you do?
82.0%
Viva 2
You are the anaesthetist for the emergency list. The gastroenterology registrar has contacted you to book a patient for endoscopic retrograde cholangiopancreatography.
The patient is a 38-yr-old pregnant woman at 35 weeks' gestation, who has presented to the emergency department with acute ascending cholangitis.
Her vital signs are:
Her full blood count shows:
What other condition may have a similar clinical presentation in this patient and how would you exclude this?
77.0%
Viva 3
You are the senior duty anaesthetist in a major metropolitan hospital. You receive a call from the emergency department regarding a four-year-old girl, who has presented with post-tonsillectomy haemorrhage. Her initial surgery was performed in a private hospital seven days earlier.
Her vital signs are:

Describe your initial assessment and management in the emergency department.
80.0%
Viva 4
An 86-year-old woman is admitted for repair of a fractured neck of femur following a fall.
Her surgery has been postponed for several days because of lack of theatre time.
You are seeing the patient for the first time in the holding bay of theatre.
She has a past history of hypertension and congestive cardiac failure. Her regular medications are metoprolol 25 mg daily and frusemide 40 mg daily.
How will you proceed?
84.0%
Viva 5
You are in the pre-anaesthesia assessment clinic.
This 54-year-old truck driver is scheduled for excision of a posterior fossa meningioma in a few weeks' time.
His height is 175 cm and weight 140 kg (body mass index 46).
His comorbidities include type 2 diabetes, hypertension and chronic back pain.
His current medications are:
metformin 1 g tds
quinapril 20 mg bd
oxycodone (sustained release) 20 mg bd
paracetamol 1 g qid
His observations are:
Blood pressure 145/85 mmHg
Heart rate 90 /minute (sinus rhythm)
SpO2 95% (on room air)
What are the important preoperative issues in this man?
89.0%
Viva 6
It is 0900 hours on Saturday morning; you are working in a large regional hospital and respond to a trauma call to the emergency department.
A young man has sustained injuries from an accident when his motorbike hit a tree. He was initially found confused at the scene by a passing motorist.
On arrival in the emergency department he is uncooperative and smells of alcohol. He has obvious large lacerations to his head and lower limbs.
His observations are:
Blood pressure 90/50 mmHg
Heart rate 120 /minute
Respiratory rate 22 /minute
SpO2 95%
Temperature 35.3°C
How will you approach this uncooperative patient?
83.0%
Viva 7
You arrive in the emergency department to assist with the management of an acutely unwell 76-year-old man, who has re-presented to hospital a week after thoracoscopy and talc pleurodesis for a non-resolving left-sided malignant pleural effusion.
Two years ago he was diagnosed with lung cancer, which was treated with chemotherapy and radiotherapy. Twelve months ago he developed atrial fibrillation and also suffered a mild left cerebrovascular accident, with no residual deficit.
He has more recently been referred to the Palliative Care team who have commenced him on pregabalin and tramadol because he is intolerant to morphine, fentanyl and oxycodone.
His current medications are:
digoxin 0.125 mg daily
warfarin 4 mg daily
pregabalin 150 mg bd
tramadol (sustained release) 150 mg bd
His vital signs are:
Blood pressure 83/41 mmHg
Heart rate 125 /minute
Respiratory rate 26 /minute
SpO2 93% (O2 6 l/minute via Hudson mask)
Temperature 36.1°C
Please comment on his chest X-ray and how it will influence your initial management.
77.0%
Viva 8
You are called by the emergency department registrar to help with the management of a 33-year-old man who has just presented, shouting about extreme pain in his left hand.
He is on the methadone maintenance program and has accidently injected a solution made with crushed oxycodone tablets into his brachial artery.
His hand is pale with mottled fingertips.
He is restless, agitated, and behaving in a threatening manner to the staff, who have been unable to perform any interventions.
Describe how you would approach this patient, and your thoughts on initial pain management.
79.0%
Viva 9
It is 1100 hours on Saturday morning and you are working in a large metropolitan hospital. You have just finished a case when you are phoned by the registrar in the high dependency unit.
An 84-year-old man who underwent neck dissection for melanoma two days ago is now in respiratory distress. A large right-sided neck swelling has developed over the last two hours.
His SpO2 is 97% on 15 l/minute of oxygen; his blood pressure is 140/80 mmHg and his heart rate is 95 /minute.
He has a background history of atrial fibrillation and transient ischaemic attacks, for which he takes dabigatran, 110 mg twice daily, as his only medication.
Dabigatran was ceased two days preoperatively and recommenced orally three hours ago. He was bridged with enoxaparin; the last dose of enoxaparin 1.5 mg/kg was 12 hours ago.
You have two minutes to consider the case as you proceed to the high dependency unit.
What further key information do you want to obtain once you get to the bedside?
72.1%
Viva 10
A pregnant woman at 36 weeks' gestation presents in respiratory distress to the emergency department of your hospital.
The obstetrician asks you to review the patient as her condition is rapidly deteriorating and he wants to deliver the baby.
How will you assess this patient?
81.4%
Viva 11
It is 1100 hours on Monday morning, and you are the anaesthetist for the emergency list at a large regional hospital.
The paediatric surgical registrar has booked a 12-year-old boy for drainage of a large pleural effusion. He thinks the effusion is secondary to pneumonia and tells you that the child looks unwell.
The interventional radiologist will insert the chest drain, under ultrasound guidance, in the radiology suite.
You send your anaesthetic registrar to the emergency department to assess the child.
You are able to view the child’s chest X-ray on the radiology information system.
Having seen this chest X-ray, what information will you require from the anaesthetic registrar?
70.9%
Viva 12
A 56-year-old woman with a body mass index of 45 and known metastatic ovarian cancer has presented to the emergency department of a peripheral hospital with severe pain in her right thigh following a seemingly trivial injury.
You have been asked to assist with her pain management.
The X-ray of her lower limb is shown.
Her usual medications are:
morphine (sustained release) 60 mg tds
tramadol 100 mg qid
morphine syrup 30 mg q4h prn (for breakthrough pain)
How will you manage this patient?
79.1%
Viva 13
After taking your patient to the post-anaesthesia care unit (PACU), you are asked by nursing staff to review another patient.
He is a 28-year-old man who has had a left craniotomy for excision of a tumour. The nurse has been unable to contact the anaesthetist who was involved with the case.
The patient has been in the PACU for one hour. In the last ten minutes he has become increasingly restless, agitated, and hypertensive.
His blood pressure, measured from a radial arterial line, is 200/100 mmHg.
Outline your initial assessment and treatment in the PACU.
89.5%
Viva 14
You are the anaesthetist on trauma call at a tertiary hospital.
The retrieval service has just brought a 26-year-old man to the emergency department following an industrial blast injury.
He has sustained burns to his anterior chest, abdomen, and legs.
He is already intubated.
His vital signs are:
Blood pressure 80/45 mmHg
Heart rate 110 /minute
SpO2 80% (FiO2 1.0)
Temperature 36.5°C
Describe your initial management of this patient.
82.6%
Viva 15
You are the on-call consultant anaesthetist in a tertiary referral hospital and are called to the emergency department.
A previously fit and well 70 kg 16-year-old girl has presented with acute shortness of breath. She has been generally unwell for three months, with a cough, increasing breathlessness, and occasional fevers.
She takes no regular medication.
Her observations are:
Blood pressure 100/70 mmHg
Heart rate 140 /minute
SpO2 92% (room air)
Respiratory rate 40 /minute
On entering the emergency department you see her chest X-ray on the viewing screen.
What does the chest X-ray show, and how will you assess this patient?
73.3%
Viva 16
You are in the pre-anaesthesia assessment clinic.
A 72-year-old man is scheduled for excision of a dorsal right forearm squamous cell carcinoma with a large rotation flap closure.
It is expected to take two to three hours, and is planned for next week.
His past history includes severe chronic obstructive pulmonary disease, asthma, and chronic renal impairment.
The patient does not speak English and an interpreter is present.
Please comment on his chest X-ray, shown here.
75.6%

Want to print your doc?
This is not the way.
Try clicking the ⋯ next to your doc name or using a keyboard shortcut (
CtrlP
) instead.